reSee.it - Related Post Feed

Saved - March 14, 2024 at 7:07 PM
reSee.it AI Summary
In a series of posts, there is discussion about the potential link between the COVID-19 vaccine and cases of Creutzfeldt-Jakob disease (CJD). Some posts reference research that suggests the spike protein in the virus/vaccine may accelerate neurodegeneration. There are also mentions of cases of accelerated CJD following COVID-19 vaccination. The posts highlight the need for further investigation and informed consent regarding the potential risks associated with the spike protein.

@janiesaysyay - Janiesaysyay

Grazing in 🐄 the Grass Everything here is so clear you can see it

@JCPEREZCODEX - jean-claude perez

26 CJD Fatal diseases by Biomathematician @JCPEREZCODEX neurologist c. Moret-Chalmin and RIP virologist #lucMontagnier 26 cases of #creutzfeldtJakob fatal disease 11 days after #covid19 JAB DOI:10.13140/RG.2.2.14427.03366

@janiesaysyay - Janiesaysyay

#GrazingInTheGrass #ThoseCowsAreMad #NeedsMoreCowbell #CreuzfeldtJakobDisease #CJD #prions #RIPLucMontagnier #RIPDrBaselga #pandemicplaylist https://www.youtube.com/watch?v=j9XFLCs2FdI

@janiesaysyay - Janiesaysyay

And everything here is so real you can feel it

@NiusMarco - marco nius

Creutzfeld Jacob sur Eudravigilance 62 cas pour Pfizer AZ et Moderna Quelques fiches individuelles plus bas

@janiesaysyay - Janiesaysyay

And it's real #RIPMauricette https://lepointcritique.fr/2022/02/18/maladie-creutzfeldt-jakob-postvaccinale-epidemie-dans-epidemie/

Épidémie de Creutzfeldt-Jakob postvaccinale | Le Point Critique Les cas suspects de maladie de Creutzfeldt-Jakob postvaccinale se multiplient en France. Une dizaine d’études documentent un possible lien avec le vaccin. La précipitation de l’État à écarter cette hypothèse l’expose-t-elle à un scandale sanitaire ? lepointcritique.fr

@janiesaysyay - Janiesaysyay

so real so real so real so real so real

@JesslovesMJK - Jessica Rose 🤙

More oopsies. @waynerohde https://boriquagato.substack.com/p/cg-enrichment-in-covid-vaccine-mrna/comments?s=r

CG enrichment in covid vaccine mRNA why the vaccines may have VERY different systemic effects vs covid virus boriquagato.substack.com

@janiesaysyay - Janiesaysyay

@janiesaysyay - Janiesaysyay

🤔 https://pharmaphorum.com/news/shock-as-astrazenecas-charismatic-cancer-rd-chief-jose-baselga-dies/

Shock as AstraZeneca’s charismatic cancer R&D chief José Baselga dies AstraZeneca is mourning the loss of one of its top scientists after eminent cancer researcher José Baselga passed away at the age of just 61.  pharmaphorum.com

@janiesaysyay - Janiesaysyay

@CharlesRixey - Charles Rixey, MA MBA (c) 🐭🇨🇱

@DeinertDoc @Jikkyleaks @AGHuff @BrendanEich @fynn_fan @BitSonicoin @BretWeinstein @joshrogin @alykhansatchu @jjcouey @ichudov @RMConservative @SweenyFrank @TyCardon @quay_dr @RepGallagher @RobertKennedyJr @Doctor_I_am_The @DrKevinWMcCair1 @NIH @WhiteCoatWaste @_whitneywebb @dasher8090 @HansMahncke @garyruskin @emilyakopp I'm just going to set this down right here, on behalf of Dr. Fleming... Which, by the way, is just a bonus when you count the cancer... & the ⬆️furin expression w/hypoxia

@janiesaysyay - Janiesaysyay

"her mother received the first dose of Pfizer on April 5, and her second dose on April 25. On May 6, Cheryl experienced her first episode indicating “something was neurologically wrong,” Gianni explained. “She had extreme brain fog and confusion. She couldn’t remember where>

@janiesaysyay - Janiesaysyay

she was driving, and got really scared...On July 12, a second lumbar puncture came back positive for CJD... Cheryl’s tau protein value was 38,979 pg/ml, while the spectrum for CJD positive patients is 0 – 1,149." https://themadtruther.com/2021/09/01/woman-dies-of-rare-brain-disease-within-3-months-of-second-pfizer-shot-doctor-says-vaccine-could-be-responsible/

Site is undergoing maintenance ∞ From darkness to light ∞ themadtruther.com

@janiesaysyay - Janiesaysyay

@Medic4allHuman - MAMMIE Bocock 🐭

Le peptide de la protéine spike du SARS-CoV-2 forme des amyloïdes En labo l'enzyme des cellules immunitaires clive la protéine spike pour donner un peptide formant des fibrilles amyloïdes Et la spike vaccinale ?!?!? https://cen.acs.org/biological-chemistry/Peptide-SARS-CoV-2-spike/100/web/2022/05?utm_source=Twitter&utm_medium=Social&utm_campaign=CEN Version fr : https://cen.acs.org/biological-chemistry/Peptide-SARS-CoV-2-spike/100/web/2022/05?utm_source=Twitter&utm_medium=Social&utm_campaign=CEN

404 Page Not Found | Chemical & Engineering News cen.acs.org
404 Page Not Found | Chemical & Engineering News cen.acs.org

@janiesaysyay - Janiesaysyay

My relative with vaxx-induced CJD, had strikingly similar symptom presentation as this💉case: "Her current condition progressed rapidly with onset of confusion, forgetfulness, and hallucinations within the next 5 days. Over the next 2 days, the patient developed difficulty>

@janiesaysyay - Janiesaysyay

in walking and echolalia. Although radiological and EEG findings in our patient are suggestive of a prion disease like pathology, we could not perform measurement of 14-3-3 protein in cerebrospinal fluid or post-mortem studies of the brain to confirm the diagnosis>

@janiesaysyay - Janiesaysyay

...recent studies using the aggregation-prediction server- AGGRESCAN and protein-protein docking techniques have indicated that the S1 SUBUNIT OF THE SPIKE-PROTEIN OF SARSCOV2 CAN interact with other aggregation-prone proteins of the brain like amyloid beta, prion protein>

@janiesaysyay - Janiesaysyay

α-synuclein, and tau, presumably through heparin-binding domains, to form homo or hetero-polymers RESEMBLING AMYLOID FIBRILS which may play a pivotal role in the neurodegenerative process of the misfolded protein disorders" aginganddisease.org/EN/10.14336/AD…

@janiesaysyay - Janiesaysyay

The sun beaming down between the leaves https://www.youtube.com/watch?v=T_tffjrItC4

@janiesaysyay - Janiesaysyay

Are spike induced CJD patients dying because they lack sufficient microglia to protect from prion seeding/astrocyte activation or because their microglia are hyperactivated by the spike but cannot protect? https://www.biorxiv.org/content/10.1101/2021.01.05.425436v1.full

@janiesaysyay - Janiesaysyay

And the bir ir irds darting in and out of the trees. "Depending on the type of stimuli and pathological context, as well as the signals from the surrounding microenvironment, MICROGLIA CAN TAKE ON DIFFERENT ACTIVATION STATES AND BECOME EITHER NEUROPROTECTIVE OR NEUROTOXIC.>

@janiesaysyay - Janiesaysyay

Activated microglia can exert detrimental effects by producing proinflammatory mediators, such as TNF-α, IL-1β, IL-6, NO, and ROS...Microglial activation represents one of the hallmarks of many neurodegenerative diseases. However>

@janiesaysyay - Janiesaysyay

prion disease is often associated with DRAMATIC AND CONSPICUOUS MICROGLIAL ACTIVATION...Compared with nonprion controls, immunohistochemical staining with microglial markers revealed MARKEDLY INCREASED MICROGLIA IN CJD... The morphology of the microglia changed to>

@janiesaysyay - Janiesaysyay

an activated state, providing evidence of a microglial response in prion diseases. Hyperactive microglia-associated cytokine storm is prominent in prion pathogenisis.>

@janiesaysyay - Janiesaysyay

A comprehensive study of microglial response in prion disease was performed by whole transcriptome profiling of prion-infected mouse brains. This study revealed that THE GENES UPREGULATED AFTER PRION INFECTION, regardless of the prion strain or mouse genetic background>

@janiesaysyay - Janiesaysyay

ARE EXPRESSED PREDOMINANTLY BY ACTIVATED MICROGLIA, contributing to a growing recognition of the importance of microglia in prion pathogenesis. Analysis of microglia isolated from prion-infected mice demonstrated that, in addition to an upregulation of>

@janiesaysyay - Janiesaysyay

GENES ASSOCIATED WITH METABOLIC AND RESPIRATORY STRESS, a disease-specific, highly proinflammatory profile was observed...At early stages of prion infection, microglia respond to PrPSc deposits and consequently increase their phagocytic capacity to remove PrPSc. However>

@janiesaysyay - Janiesaysyay

this phagocytosis is insufficient, and SUSTAINED PRPSC ACCUMULATION LEADS TO NEURONAL DAMAGE, WHICH COULD IN TURN TRIGGER THE MICROGLIA TO SWITCH TO A PROINFLAMMATORY PHENOTYPE...inflammatory cytokines may also convert astrocytes to a deleterious A1 phenotype.>

@janiesaysyay - Janiesaysyay

Classically activated microglia have been found to induce a putative subtype of reactive astrocytes, termed A1, by secreting IL-1α, TNF-α, and C1q, leading to a loss of neurotrophic functions and neuronal death.>

@janiesaysyay - Janiesaysyay

Thus, microglial activation and astrogliosis may be more closely related than has previously been appreciated." https://www.ncbi.nlm.nih.gov/pmc/articles/PMC5669569/

Microglia in prion diseases Prion diseases are a group of progressive and fatal neurodegenerative disorders characterized by deposition of scrapie prion protein (PrP[Sc] ) in the CNS. This deposition is accompanied by neuronal loss, spongiform change, astrogliosis, and conspicuous ... ncbi.nlm.nih.gov

@janiesaysyay - Janiesaysyay

And everything here is so near you can feel it.

@janiesaysyay - Janiesaysyay

🧠 Hyperactive! 🧠 "The prevalence of neurological symptoms after SC2 infection, altogether termed “Neuro-COVID”, differs signicantly between studies and can rarely be explained by direct virus effects. In support of a detrimental immune response, neuropathological evidence of>

@janiesaysyay - Janiesaysyay

@janiesaysyay - Janiesaysyay

SarsCoV2 Spike S1 subunit acting like a prion:

@janiesaysyay - Janiesaysyay

@janiesaysyay - Janiesaysyay

All roads lead to mitochondria

@janiesaysyay - Janiesaysyay

@MdSchwurbelei - Schwurbelminister 🐭

@deCofactors @PleiadesTaygeta @2Genervter If you don't mind I'd have another one: I've heard there's the rna for a mitochondria behind a stop codon in the vax rna. Wouldn't a stop codon skip due to pseudouridine end up in a immune reaction to mitochondria?

@janiesaysyay - Janiesaysyay

@janiesaysyay - Janiesaysyay

Baby can you dig it? Oh la la, this paper from @JCPEREZCODEX "We subsequently recall the usual history of this dreadfull subacute disease, and compare it with this new, extremely acute, prion disease, following closely💉>

@janiesaysyay - Janiesaysyay

In a few weeks, more 50 cases of almost spontaneous emergence of Creutzfeldt-Jakob disease have appeared in France and Europe very soon after the injection of the first or second dose of Pfyzr, M0derna or AstraZneka💉s. >

@janiesaysyay - Janiesaysyay

To summarize, of the 26 cases analyzed, the first symptoms of CJD appeared on average 11.38 days after the injection of the COVID-19 💉." https://www.researchgate.net/publication/358661859_Towards_the_emergence_of_a_new_form_of_the_neurodegenerative_Creutzfeldt-Jakob_disease_Twenty_six_cases_of_CJD_declared_a_few_days_after_a_COVID-19_vaccine_Jab

ResearchGate - Temporarily Unavailable researchgate.net

@janiesaysyay - Janiesaysyay

@JCPEREZCODEX - jean-claude perez

Nota: le 1er février #lucMontagnier me téléphonait encore depuis l'hôpital pour insister sur la fabrication du tableau ci joint...

@janiesaysyay - Janiesaysyay

@JCPEREZCODEX - jean-claude perez

2 articles on: Prions and #creutzfeldtJakob https://www.theepochtimes.com/studies-link-incurable-prion-disease-with-covid-19-vaccine_4511204.html And #monkeypox https://expose-news.com/2022/06/04/two-studies-monkeypox-manipulated-in-biolab/

Studies Link Incurable Prion Disease With COVID-19 Vaccines theepochtimes.com
Two Studies now suggest the circulating Monkeypox Virus has been manipulated in a Biolab Recently we revealed how a study published by Portugal's Institute for Health had found abnormal mutations among the alleged circulating monkeypox virus suggesting it had been manipulated and edited in a biolab. Now a second study has been published adding weight to this theory. Monkeypox illness usually begins with a fever before a rash develops… expose-news.com

@janiesaysyay - Janiesaysyay

@janiesaysyay - Janiesaysyay

@janiesaysyay - Janiesaysyay

@justcallme_kari - just call me Kari

Just this week my cousins husband passed away. They told her they suspect CJD but refuse to do an autopsy, they told her it's too dangerous to preform. https://www.theepochtimes.com/studies-link-incurable-prion-disease-with-covid-19-vaccine_4511204.html?utm_campaign=socialshare_twitter&utm_source=twitter.com

Studies Link Incurable Prion Disease With COVID-19 Vaccines theepochtimes.com

@janiesaysyay - Janiesaysyay

Acceleration of CJD after SC2 infection👇 Is the spike protein of the virus/vaxx accelerating existing neurodegeneration? If so, is the post-vaxx CJD really a new form of CJD or is it an enhancement of the disease by spike? #VaxxDependentEnhancement https://www.mdpi.com/2227-9059/9/11/1730/htm

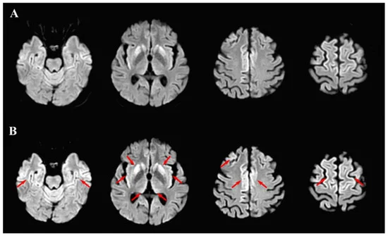
Clinical and Radiological Deterioration in a Case of Creutzfeldt–Jakob Disease following SARS-CoV-2 Infection: Hints to Accelerated Age-Dependent Neurodegeneration Systemic inflammation and the host immune responses associated with certain viral infections may accelerate the rate of neurodegeneration in patients with Creutzfeldt–Jakob disease (CJD), a rare, transmissible neurodegenerative disease. However, the effects of the newly emerged SARS-CoV-2 infection on the pathogenesis of CJD are unknown. In this study, we describe the case of an elderly female patient with sporadic CJD that exhibited clinical deterioration with the emergence of seizures and radiological neurodegenerative progression following an infection with SARS-CoV-2 and severe COVID-19. Despite efforts to control the progression of the disease, a dismal outcome ensued. This report further evidences the age-dependent neurological effects of SARS-CoV-2 infection and proposes a vulnerability to CJD and increased CJD progression following COVID-19. mdpi.com

@janiesaysyay - Janiesaysyay

@janiesaysyay - Janiesaysyay

#SpikeDependentEnhancement #Bi0weap0n

@janiesaysyay - Janiesaysyay

@janiesaysyay - Janiesaysyay

@AllTheRisks - Jonathan Weissman

@JCPEREZCODEX Thank you for your amazing paper with the late, great Nobel Prize laureate Prof Luc Montagnier. YouTube banned my video prior to the premiere but I'm getting the word out about your research at http://alltherisks.com. #AllTheRisks

Video Transcript AI Summary
Using more c and g in biotechnology translates proteins quicker, evading the immune system. However, altering the folding structure by increasing GC content in Pfizer's and Moderna's drugs poses risks. Computer models show significant differences in folding between the drugs and the natural virus, potentially leading to prion disease concerns. These modifications make the drugs more hazardous than the original virus.
Full Transcript
Speaker 0: If you use more c and g, cytosine and guanine, you translate it quicker. Right? Remember, it's all about biotechnology. More protein, more quickly, avoid the innate immune system. So what's the problem? You change the secondary structure of how this thing folds. At the top right, you can see we've gone from 36% GC content in the natural virus to 53% in Pfizer's drug. I think it's 61% for Moderna. At the bottom right, this is a paper where they used RNA fold, which is a computer model, to understand how different the folding is between Pfizer's drug and the natural virus. Does that look the same to you or does it look like it's folding differently? It's folding differently. We will see in a moment, in the next section, a very serious concern about prion disease related to this modification. The bottom line is these modifications are making things more dangerous even than the natural virus.
alltherisks.com COVID-19 Vaccines: What You Should Have Been Told, 17 September 2022, referenced slides available here alltherisks.com

@janiesaysyay - Janiesaysyay

It sure is mellow grazing in the grass What a trip just watching as the world goes past

@janiesaysyay - Janiesaysyay

@Nothing2cHere27 - cc

@rebeccarandel In January we had 5 cases in our city of 60k. We know one of them. He passed from CJD within 90 days. Might want to talk to his widow. She’s in a support group and nearly all their stories are the same and it starts with the Covid vax.

@janiesaysyay - Janiesaysyay

@janiesaysyay - Janiesaysyay

@janiesaysyay - Janiesaysyay

@monaeatsLA - Mona Holmes

I don't post these often so please listen up. My friend Rosie and her 15 y.o daughter need support right now. Her husband Eric was recently diagnosed with Creutzfeldt-Jakob disease, a rapidly progressive, fatal neurodegenerative disorder that changed their lives so quickly. 1/

@janiesaysyay - Janiesaysyay

@NeBirgitta - Birgitta Neher

⁦@CaudeHenrion⁩ Mitochondrial respiratory chain deficiency correlates with the severity of neuropathology in sporadic Creutzfeldt-Jakob disease https://actaneurocomms.biomedcentral.com/articles/10.1186/s40478-020-00915-8

Mitochondrial respiratory chain deficiency correlates with the severity of neuropathology in sporadic Creutzfeldt-Jakob disease - Acta Neuropathologica Communications Mitochondrial dysfunction has been implicated in multiple neurodegenerative diseases but remains largely unexplored in Creutzfeldt-Jakob disease. Here, we characterize the mitochondrial respiratory chain at the individual neuron level in the MM1 and VV2 common molecular subtypes of sporadic Creutzfeldt-Jakob disease. Moreover, we investigate the associations between the mitochondrial respiratory chain and neuropathological markers of the disease. Brain tissue from individuals with sporadic Creutzfeldt-Jakob disease and age-matched controls were obtained from the brain collection of the Austrian Creutzfeldt-Jakob Surveillance. The mitochondrial respiratory chain was studied through a dichotomous approach of immunoreactivities in the temporal cortex and the hippocampal subregions of CA4 and CA3. We show that profound deficiency of all mitochondrial respiratory complexes (I-V) occurs in neurons of the severely affected temporal cortex of patients with Creutzfeldt-Jakob disease. This deficiency correlates strongly with the severity of neuropathological changes, including vacuolation of the neuropil, gliosis and disease associated prion protein load. Respiratory chain deficiency is less pronounced in hippocampal CA4 and CA3 regions compared to the temporal cortex. In both areas respiratory chain deficiency shows a predilection for the MM1 molecular subtype of Creutzfeldt-Jakob disease. Our findings indicate that aberrant mitochondrial respiration could be involved early in the pathogenesis of sporadic Creutzfeldt-Jakob disease and contributes to neuronal death, most likely via ATP depletion. Based on these results, we propose that the restricted MRI diffusion profile seen in the brain of patients with sporadic Creutzfeldt-Jakob disease might reflect cytotoxic changes due to neuronal respiratory chain failure and ATP loss. actaneurocomms.biomedcentral.com

@janiesaysyay - Janiesaysyay

@Biomed_MDPI - Biomedicines MDPI

💡𝗖𝗮𝘀𝗲𝗥𝗲𝗽𝗼𝗿𝘁💡 "Clinical and Radiological Deterioration in a Case of Creutzfeldt–Jakob Disease following SARS-CoV-2 Infection: Hints to Accelerated Age-Dependent Neurodegeneration" 🔗https://www.mdpi.com/2227-9059/9/11/1730

Clinical and Radiological Deterioration in a Case of Creutzfeldt–Jakob Disease following SARS-CoV-2 Infection: Hints to Accelerated Age-Dependent Neurodegeneration Systemic inflammation and the host immune responses associated with certain viral infections may accelerate the rate of neurodegeneration in patients with Creutzfeldt–Jakob disease (CJD), a rare, transmissible neurodegenerative disease. However, the effects of the newly emerged SARS-CoV-2 infection on the pathogenesis of CJD are unknown. In this study, we describe the case of an elderly female patient with sporadic CJD that exhibited clinical deterioration with the emergence of seizures and radiological neurodegenerative progression following an infection with SARS-CoV-2 and severe COVID-19. Despite efforts to control the progression of the disease, a dismal outcome ensued. This report further evidences the age-dependent neurological effects of SARS-CoV-2 infection and proposes a vulnerability to CJD and increased CJD progression following COVID-19. mdpi.com

@janiesaysyay - Janiesaysyay

@janiesaysyay - Janiesaysyay

🧵Redo CJD cases with details: "A month ago he was out pacing us on hikes going up Runyon Canyon, and now both physical and cognitive decline have taken place at a shocking speed." GFM created: 5-27-22 "just diagnosed" Death: 6-7-22 #RIPEric #CJD https://gofund.me/a6e48780

Help Our Beloved Eric, organized by Jeff Werner Eric was just diagnosed with a fatal, rapid onset nuerological disorder called Creutzfeldt-Jakob dis… Jeff Werner needs your support for Help Our Beloved Eric gofundme.com

@janiesaysyay - Janiesaysyay

@CharlesRixey - Charles Rixey, MA MBA (c) 🐭🇨🇱

[2] It was read more than 132k times before ResearchGate took it down. It has since been revised and expanded. The evidence is overwhelming @janiesaysyay @jjcouey @Jikkyleaks @akheriaty @JesslovesMJK @EduEngineer @ichudov @TyCardon @EthicalSkeptic https://www.researchgate.net/publication/359855384_The_Myth_of_the_Blind_Watchmaker

ResearchGate - Temporarily Unavailable researchgate.net

@janiesaysyay - Janiesaysyay

@JCPEREZCODEX - jean-claude perez

@CharlesRixey @janiesaysyay @jjcouey @Jikkyleaks @akheriaty @JesslovesMJK @EduEngineer @ichudov @TyCardon @EthicalSkeptic It was not withdrawn by researchgate but by à people which do not appreciate our results

@janiesaysyay - Janiesaysyay

"He died on August 30, 2021 from complications from Creutzfeldt-Jakob disease, having only discovered in late spring just how incredibly ill he was." https://www.thejc.com/news/uk/top-jewish-sports-journalist-dies-of-creutzfeldt-jakob-disease-1.520042

Top Jewish sports journalist dies of Creutzfeldt-Jakob disease Simon Greenberg also worked with José Mourinho at Chelsea as communications director thejc.com

@janiesaysyay - Janiesaysyay

"The patient passed away two months after the onset of her symptoms." https://www.cureus.com/articles/90302-rapidly-progressive-probable-sporadic-creutzfeldt-jakob-disease

Rapidly Progressive Probable Sporadic Creutzfeldt-Jakob Disease Creutzfeldt-Jakob disease (CJD) is a rare, fatal brain infection caused by a human prion. Because CJD is associated with rapidly progressive neurological degeneration, it requires high suspicion for diagnosis. We report the case of a 79-year-old patient who presented with a rapidly progressive neurological clinical picture. The patient had positive 14-3-3 proteins in cerebrospinal fluid, electroencephalography was significant for periodic discharges, and magnetic resonance imaging of the brain showed both diffusion restriction and increased fluid-attenuated inversion recovery signal in different cortical regions, consistent with probable sporadic CJD infection. The patient was enrolled under hospice and palliative care. The patient passed away two months after the onset of her symptoms. We discuss the probable sporadic CJD diagnostic criteria and possible risk factors that might have led to a faster progressive course. cureus.com

@janiesaysyay - Janiesaysyay

"Richard, 57, died within four weeks of being admitted to hospital." https://www.6pr.com.au/fit-as-a-fiddle-veteran-pe-teacher-dies-after-contracting-extremely-rare-disease/

'Fit as a fiddle' veteran PE teacher dies after contracting extremely rare disease Richard Main spent 37 years working as a PE teacher and was “fit as a fiddle” when he was diagnosed with an extremely rare disease known as Creutzfeldt-Jakob Disease (CJD). CJD is a degenerative brain disorder that progresses at a rapid pace throughout the body and ultimately leads to death. Richard, 57, died within four […] 6pr.com.au

@janiesaysyay - Janiesaysyay

60 yr old male, California Vaxx: 2021-04-24, 1 dose, M0dern@ Onset: 2021-05-07

@janiesaysyay - Janiesaysyay

62 yr old female, North Carolina Vaxx: 2021-03-08, 1 dose, J@nssen Onset: 2021-03-29

@janiesaysyay - Janiesaysyay

64 yr old female, Florida Vaxx: 2021-04-25, 2, doses, Fizer Onset: 2021-05-06

@janiesaysyay - Janiesaysyay

69 yr old female, Louisiana Vaxx: 2021-03-08, 2 doses, M0dern@ Onset: 2021-04-01

@janiesaysyay - Janiesaysyay

66 yr old male, Texas Vaxx: 2021-01-27, 2 doses, M0dern@ Onset: 2021-06-01 Died: 2021-08-27

@janiesaysyay - Janiesaysyay

67 yr old male, Washington Vaxx: 2021-03-01, 2 doses, Fizer Onset: 2021-05-01

@janiesaysyay - Janiesaysyay

67 yr old male, Washington Vaxx: 2021-02-22, 3 doses, Fizer Onset: 2021-04-01 Died 2021-10-29

@janiesaysyay - Janiesaysyay

58 yr old male, Kansas Vaxx: 2021-10-28, 3 doses, M0dern@ Onset: 2021-11-22

@janiesaysyay - Janiesaysyay

60 yr old female, Missouri Vaxx: 2021-09-21, 2 doses, Fizer Onset: 2021-09-25 Died: 2022-02-01

@janiesaysyay - Janiesaysyay

70 yr old female Vaxx: 2021-02-26, 2021-03-17, 1 dose, M0dern@ Died: 2021-08-02

@janiesaysyay - Janiesaysyay

72 yr old male, Massachusetts Vaxx: 2021-08-06 Died: 2022-03-14

@janiesaysyay - Janiesaysyay

@janiesaysyay - Janiesaysyay

"my sister Casey recently became very ill with an extremely rare brain disease and she has declined at a rapid pace." #CJD https://gofund.me/3c74087a

Donate to Loving Casey & her family, organized by Jaime Taylor As many of you may already know, my sister Casey recently became very ill with an extremely rar… Jaime Taylor needs your support for Loving Casey & her family gofundme.com

@janiesaysyay - Janiesaysyay

#CJD

@janiesaysyay - Janiesaysyay

#CJD

@janiesaysyay - Janiesaysyay

@janiesaysyay - Janiesaysyay

@stephanieseneff - Stephanie Seneff

Highwire episode #264, aired yesterday: Starting at 1 hour, Del Bigtree interviewed me on the mRNA vaccines and prion disease. https://media.livecast365.com/highwire/thehighwire/content/1650485304230.mp4

@janiesaysyay - Janiesaysyay

@janiesaysyay - Janiesaysyay

#RIPCyndi #CJD

@janiesaysyay - Janiesaysyay

Long research 🧵, hit "show replies" to see all

@ssayssayssay - Janiesaysshh 🪩

🐄 Grazing In The Grass 🐄 This is the 5th time redoing this research 🧵 because of Twitter censorship. The others highlighted dozens of accelerated cases of CJD post COVID💉. Everything here is so clear you can see it

@janiesaysyay - Janiesaysyay

The SARS2 spike protein S1 subunit has a prion-like domain on it, this helps the 🦠 to cause or accelerate neurodegenerative diseases. Montagnier and Perez theorize that the synthetic spike of the 💉 can do the same. https://www.frontiersin.org/articles/10.3389/fnins.2022.1002770/full

Frontiers | SARS-CoV-2, long COVID, prion disease and neurodegeneration frontiersin.org

@janiesaysyay - Janiesaysyay

This paper supports @PlanZip's theory that the SARS2 virus is preferentially targeting the mitochondria in host cells. They surmise it's because of the co-evolution of the two, which predates eukaryotes. #AllRoadsLeadToMitochondria https://www.ncbi.nlm.nih.gov/pmc/articles/PMC10047479/

Potential Prion Involvement in Long COVID-19 Neuropathology, Including Behavior Prion’ is a term used to describe a protein infectious particle responsible for several neurodegenerative diseases in mammals, e.g., Creutzfeldt-Jakob disease. The novelty is that it is protein based infectious agent not involving a nucleic acid ... ncbi.nlm.nih.gov

@janiesaysyay - Janiesaysyay

@PlanZip - The Elder 🏴‍☠️

@Parsifaler Much of our earliest research and gut feelings were dead on correct. What is aging? If not the inability of mitochondria to go into mitophagy? To put it simply. Mitochondria that are defective but which do not undergo mitophagy generate ROS.

@janiesaysyay - Janiesaysyay

#GainOfFunction #Bioweapon

@PlanZip - The Elder 🏴‍☠️

@janiesaysyay This paper is good. It also acknowledges this is not the first virus to hijack mitochondrial function. Which is correct. This one is not entirely from nature however. There's no evolutionary advantage to a natural virus eliminating its host population. The danger of GOF.

@janiesaysyay - Janiesaysyay

@janiesaysyay - Janiesaysyay

@ssayssayssay GFM created 03/11/2023 RIP Sandy

@janiesaysyay - Janiesaysyay

@janiesaysyay - Janiesaysyay

@ssayssayssay GFM created 02/05/2023

@janiesaysyay - Janiesaysyay

Diane was a nurse, presumably she received all her inoculations. GFM created: 01/14/2023 Death: 01/23/2023 RIP Diane

@janiesaysyay - Janiesaysyay

Ray got sick with COVID in 12/2021, after the fall booster season. Possible Long Covid. CJD symptoms in 06/2021 GFM created: 12/30/2023 Diagnosis 04/12/2023 Death: 04/21/2023

@janiesaysyay - Janiesaysyay

Looking at this case, it might simply be neurodegeneration from untreated Long Covid (see research of dbdugger) because the time fits that Dx better. RIP Ray thank you for your service ❤️.

@janiesaysyay - Janiesaysyay

GFM created: 12/24/2021 Death: 03/05/2022 RIP Dave #CJD

@janiesaysyay - Janiesaysyay

Facebook and and other social media pages show many more of these accelerated CJD cases. I documented more on @Jaineysez. No informed consent that the COVID 💉 mRNA contained a toxic spike protein with prion-like properties.

@MakisMD - William Makis MD

Portsmouth, RI - 57 year old neonatal nurse Diane Santos died suddenly on January 23, 2023, weeks after diagnosis with fatal Creutzfeldt-Jakob Disease or prion disease There are at least 2 prion sequences in the COVID-19 mRNA vaccine spike protein. #DiedSuddenly #cdnpoli #ableg

@janiesaysyay - Janiesaysyay

#Metoo

@stephanieseneff - Stephanie Seneff

I'm pleased to see somebody else linking the spike protein to prion disease. I hope experts will look into a possibility of antibodies against the YQAGS sequence in the RBD of spike attacking YQRGS in the C-terminal domain of the prion protein. https://wmcresearch.substack.com/p/long-covid-as-prion-disease

Long COVID as Prion Disease The disease has so far remained elusive, perhaps because it is not viral at all. wmcresearch.substack.com

@janiesaysyay - Janiesaysyay

@janiesaysyay - Janiesaysyay

As GPT4 theorizes in 1. above, if the newly discovered ligase changes the COVID mRNA sequences, this could create harmful proteins. Could these proteins be amyloidogenic?

@janiesaysyay - Janiesaysyay

@dbdugger - Daniel Brittain Dugger

Borrowing from a virus that shares the same pathophysiology, it is possible to see sporadic CJD. https://www.ncbi.nlm.nih.gov/pmc/articles/PMC7997664/

Sporadic Creutzfeldt-Jakob disease in two clinically and virologically controlled Brazilian HIV patients who progressed rapidly to dementia: case reports and literature review Human immunodeficiency virus (HIV)-associated neurocognitive disorders are the main cause of cognitive decline and dementia in people living with HIV (PLHIV). However, extensive workup should be done in patients with rapidly progressive dementia (RPD) ... ncbi.nlm.nih.gov

@janiesaysyay - Janiesaysyay

So real Accelerated CJD clusters in Michigan. https://www.woodtv.com/news/michigan/deadly-clusters-doctors-urge-closer-look-at-rare-always-fatal-brain-disease/

Deadly Clusters: Doctors urge closer look at rare, always fatal brain disease It's a rare but devastating disease: The few who are diagnosed with Creutzfeldt-Jakob disease are handed a death sentence. woodtv.com

@janiesaysyay - Janiesaysyay

So real

@WOODTV - WOOD TV8

After several cases of the "uniformly fatal" Creutzfeldt-Jakob disease in Michigan, doctors are looking for commonalities: https://www.woodtv.com/news/michigan/deadly-clusters-doctors-urge-closer-look-at-rare-always-fatal-brain-disease/

Video Transcript AI Summary
They took him to the ER and admitted him. It was the beginning of the end. Crocodile disease is catastrophic and always fatal. No one has ever survived.
Full Transcript
Speaker 0: Into the ER and they admitted him, and, that was the beginning of the of the end, really. Crocodile, yeah, cold disease is really, catastrophic when it happens. Unfortunately, it's uniformly fatal. No one's ever survived.
Deadly Clusters: Doctors urge closer look at rare, always fatal brain disease It's a rare but devastating disease: The few who are diagnosed with Creutzfeldt-Jakob disease are handed a death sentence. woodtv.com

@janiesaysyay - Janiesaysyay

https://gofund.me/ac42c7a6 #RIPRaffaelle

Creutzfeldt-Jakob Disease: Raffaele Dioguardi, organisiert von Biagio Pepe Hello, my name is Biagio Pepe, I am fundraising in hopes to raise… Biagio Pepe braucht deine Unterstützung für Creutzfeldt-Jakob Disease: Raffaele Dioguardi gofundme.com

@janiesaysyay - Janiesaysyay

https://gofund.me/f284fa4e #RIPRon

Ron Smarr's Journey with CJD, organized by Colleen Smarr In March 2023, Ron's journey began as he experienced a significant decline in mental & cogn… Colleen Smarr needs your support for Ron Smarr's Journey with CJD gofundme.com

@janiesaysyay - Janiesaysyay

Well done @veryvirology! The EU admitted we might see CJD cases arising from prion contamination in the 💉 because of the use of bovine fats in the LNPs. https://veryvirology.substack.com/p/prions-one-of-these-things-is-not

Prions: One Of These Things Is Not Like The Others A surprising development constitutes some unexpectedly good news. veryvirology.substack.com

@janiesaysyay - Janiesaysyay

Remember Jay, he was the MI attorney Dx with an aggressive Heidenhain variant of CJD who died very quickly. Then MI Doctors found a cluster of CJD cases. > https://t.co/I9jSou7XcE

@janiesaysyay - Janiesaysyay

CJD is easy to miss because it is often misdiagnosed as Parkinson's or dementia. So doctors went back and looked at patient records. > https://t.co/LHZZcSEEHJ

Saved - September 26, 2023 at 5:25 PM

@AgretDenis - Denis Agret

Braun ment et nous empêche de dépister et traiter les covid qui ont des #myocardites #HTA et qui vont développer des insuffisances cardiaques, des AVC, des troubles du rythme cardiaque FA et FV donc morts subites. Chers si vous ne voulez pas vivre le pire: démissionBraun

Video Transcript AI Summary
Denis Agréche, a French doctor, shares an interview with the Minister of Health, Mr. Brande, conducted by Roger from Sud Radio. They discuss the need for transparency regarding the serious adverse effects of COVID vaccines. Mr. Brande claims there are no alerts or concerns, but Denis disagrees, citing the French National Agency for Medicines and Health Products Safety. He accuses Mr. Brande of lying and provides evidence of serious cases, such as myocarditis and hypertension, linked to the vaccines. Denis hopes that one day Mr. Brande will have to answer for his statements in court, comparing him to the disgraced politician Cahuzac.
Full Transcript
Speaker 0: Bonjour tout le monde, Denis Agréche, médecin français, santé publique, médecine d'urgence. Je vais vous montrer notre ministre de la santé, monsieur Brande, qui vient d'être interviewé ce matin par Roger qui est directeur de Sud Radio il demande s'il faut une commission d'enquête sur les effets indésirables graves des vaccins du covid demande d'être transparent écoute On Speaker 1: ne rajoute pas, on se pose des questions de transparence il faut être transparent je pense que le milieu scientifique l'est totalement. Speaker 0: Totalement. Speaker 1: Les patients aux côtés vaccinés sont suivis, pour l'instant il n'y a pas d'alerte, il n'y a aucune alerte par rapport au au au désir d'un. Speaker 0: Il n'y a aucune alerte, il nous a dit, ce monsieur ment, ce monsieur connaît l'agence nationale de sécurité du médicament qui est une agence du gouvernement français. Donc là c'est mon tweet ce matin, cet homme est un menteur, bien sûr qu'il y a des alertes sur les myocardite et les hypertensions artérielles qui ont des conséquences gravissimes sur le coeur et la mortalité cardiovasculaire. Il n'y a qu'à lire sur l'ANS. Voici le lien vers le dernier point de situation de surveillance des vaccins Covid du vingt-quatre avril deux-mille-vingt-trois. 193 mille zéro quatre-vingt-dix-huit cas déclarés donc dont vingt-cinq pour cent de cas graves et on vous dit aussi qu'il y a des signaux confirmés pour lequel le lien entre les faits indésirables et le vaccin covid est avéré. Et pour le sol pfizer comme une inertie au 6 avril deux mille vingt-trois il y a bien trois signaux confirmés hypertension artérielle eucarlite péricardite saignement menstruel important dont vingt-six pour cent de cas graves écoutez bien il Speaker 1: n'y a pas d'alerte il n'y a aucune alerte pas aucune alerte Oui mais qui sont qui ne sont pas significatifs par rapport à l'ensemble des personnes qui ont été vaccinées vous savez. Speaker 0: J'espère que ça fera plaisir aux dames jeunes filles qui ont vécu tout ça ce n'est pas significatif j'espère qu'un jour il devra répéter tout ça devant un juge ce monsieur ça me rappelle une drôle d'histoire de Cahuzac sciemment devant les médias et qui un jour a fini en prison.

@SudRadio - Sud Radio

🔴 Une commission d'enquête sur les effets secondaires du vaccin #COVID ? @dupontaignan 🗣️@FrcsBraun "Il faut être transparent, le milieu scientifique l'est. Les patients qui ont été vaccinés sont suivis et il n'y a pas d'alerte. Les troubles signalés ne sont pas significatifs"

Video Transcript AI Summary
During the Covid crisis, there were questions about the need for a parliamentary inquiry into the side effects of the Covid vaccine. The speaker believes in transparency and states that the scientific community is transparent. Patients who have been vaccinated are monitored, and there have been no significant alerts among the 19 million vaccinated individuals. Some women have reported menstrual issues, but these cases are not significant compared to the overall number of vaccinated people. The Covid vaccine has been widely used worldwide and has a lot of experience behind it.
Full Transcript
Speaker 0: Parce que vous savez à travers à travers la crise du Covid, il y a eu un certain nombre de questionnements. D'ailleurs est-ce qu'il faudrait une commission d'enquête Nicolas Dupont-Aignan disait une commission d'enquête parlementaire ou pas, mais sur les effets secondaires du de la vaccination liée au Covid. Et je crois que Est-ce que vous y êtes favorable ou pas Ce sont des questions de transparence. Speaker 1: Il faut être transparent. Je pense que le milieu scientifique l'est totalement. Les patients qui ont été vaccinés sont suivis. Pour l'instant, il n'y a pas d'alerte, il n'y a aucune alerte par rapport au au dix-neuf-millions de personnes qui ont Speaker 0: été vaccinées. Des femmes par exemple des troubles menstruels et autres quoi. Oui, ça Speaker 1: a été signalé ça. Oui, mais qui sont, qui ne sont pas significatifs par rapport à l'ensemble des personnes qui ont été vaccinées. Vous savez, parle beaucoup de cette vaccination Covid, c'est une des vaccinations qui a été le plus utilisé dans le monde et pour laquelle on a le plus d'expérience.
Saved - August 26, 2023 at 11:12 AM
reSee.it AI Summary
Dr. Masanori Fukushima, a Professor Emeritus at Kyoto University, passionately criticizes the government's handling of the Covid Vaccine. He highlights the risks associated with mRNA vaccines, emphasizing that the nanoparticles in the vaccine can enter every cell in the body, potentially causing various health issues. Dr. Fukushima urges individuals to seek medical attention if they experience adverse effects, such as cardiovascular or autoimmune diseases. He also questions the suppression of natural immunity due to vaccination and points out that the majority of current Covid cases are among the vaccinated. Many wonder why other experts fail to explain the vaccine's mechanism as clearly as Dr. Fukushima does. Humanity's well-being is at stake. #CrimesAgainstHumanity #VaccineGenocide.

@bambkb - Kevin - WE THE PEOPLE❤️ - DAD🦁 🐉 🔥

🚨🚨🚨🇯🇵Dr Masanori Fukushima, Professor Emeritus at Kyoto University is furious and absolutely goes OFF on the government about the #Covid #Vaccine : "These #Vaccine injured people cry themselves to sleep at night, while you try and HIDE information!! This is a case of DRUG HARM!!” “Last year I thought it was going to be a problem if this VACCINE spread and I told professional magazines that it was DELUSIONAL to try and get out of a pandemic by #Vaccination!! And NOW people are starting to understand HOW DANGEROUS this #mRNA #Covid #Vaccine really is!!!” “I mean, the MRNA is wrapped in nano particles, that means EVERY CELL in the body engulfs it and then TRANSFORMS, the MECHANISM is clear!!!”😳😳 “If you don’t feel good after vaccination, go to your doctor immediately, you could be suffering from CARDIOVASCULAR disease, AUTOIMMUNE disease, susceptibility to infection and many other things!!!” “These nano particles are also absorbed by the brain and they DO cross the BLOOD-BRAIN barrier, only a STUPID SCIENTIST would say that they wouldn’t!! People had natural immunity to COVID but Due to vaccination, their natural immunity has been SUPPRESSED!!! The people that are infected with COVID now, are the #Vaccinated and NOT the #Unvaccinated, the government data speaks for itself!!”🔥🔥🔥🔥 What have these people done to humanity? #CrimesAgainstHumanity #VaccineGenocide

Video Transcript AI Summary
The speaker discusses the issue of cry-it-out sleep training and the negative effects it can have on infants. They mention a person who learned about this through caregiving and wrote an opinion piece. They also talk about the dangers of ignoring this issue and spending billions of yen on importing vaccines. The speaker expresses skepticism about the effectiveness of vaccines in solving the pandemic. They warn about the dangers of ingesting harmful substances and emphasize the importance of raising awareness in medical institutions. They mention the risks of cardiovascular disorders, autoimmune diseases, and brain damage. The speaker criticizes the idea that vaccines are safe because they don't pass through the bloodstream. They attribute Japan's initial success in controlling the virus to the presence of ICAs and a strong surveillance system. However, they argue that natural immunity has been compromised due to vaccination, leading to breakthrough infections. They express concern about the increasing spread of the virus and cite data from the Ministry of Health, Labour and Welfare.
Full Transcript
が 違います よね ほとんど が 泣き 寝 り 来た ような 泣き 寝 り が出る たまたま 酒 豪 介護 して わかった 人 について これ 意見 書 だけ ほ ったら かし じゃない の まあ やって た っていうこと が 引退 した んで しょうがない んです 日本人 とか って 薬 剤 が 揃 った 。 ハー タ さん、 ものすごく 苦 し んだ みたいな 。 現代 の なんとなく の 薬 剤 を ほん で 辛い この 人が 役 立ち ながら レッスン を受けて もう 二 度 と 役 立ち ができない こと になっている んです だけど それを 強 引 に 無視 して 何 兆円 も 使って この 悪 人を 学 費 輸入 して 国民 に 先 導 して だから じっと も た まらない それで 、 昨年 この ワクチン が 急速 に 困る と思って この ワクチン によって パンデミック が 解決 する と思う の は 妄想 であると 感じました 専門 貸 し ください じゃあ もう ミス コン チェック する ようやく この こと 上がった 目線 で あれ ね も 7 回 ってくる 前 、 前 、 ナンバー 2 に 包 んで 入れる ことが いかに 危険 だ ってこと か。 あらゆる 細胞 が それを 飲み 込んで それで 最後 間に 返 還 して い っちゃう んです そこで もう 今 わかった と ね 目が リズム はっきり してる 即 刻 状態 に 退 散 して 洗 礼 状態 しなさい それが 結論 だけ 全然 調査 だ だから 私 言って から 障 子 が悪く な っ といった みんな 医療機関 に 周 知 して モ タ モ タ して たら ダメ です 何 が起こる か わかんない 心 血管 障害 、 自己 免疫 疾患 、 感染 しやすい 、それから 脳 に くる 、 ナ ロ パーティクル は 脳 に 取り 込まれ るんです これは 頭の 悪い 学者 は 血液 緩和 を 通 らない から 大丈夫だ と また じゃない と 言ったら 自然 免疫 を抑え られる んです だから 日本人 が 初めて 蔓 延 しなかった の は 在 籍 中に IC A があって コロナ には 対 して 調査 体制 があるから 答え られて た んですよ ところが ワクチン 打った か ために それが ちょっと 相談 された 自然 免疫 を う な られた から こういうこと になってる んです ち っと も た まらない 。 どんどん 広がり ます。 今 ブレイク スルー 感染 に 転 勤 だった もう ほとんど の人が ブレイク スルー 感染 ですよ 今 枠 かかって る人 が 枠 に 打って ない人 が 掛かって いない 枠 に 打った 人が 写 し 合って る 厚 労 省 から 提示 されている データ で 全部 明らか だから お話し します

@bambkb - Kevin - WE THE PEOPLE❤️ - DAD🦁 🐉 🔥

🚨🚨It seems to me that Prof Masanori knows exactly how the #Covid #Vaccine operates, so how are ALL the doctors in our countries BAFFLED!? I have NEVER heard one person explain it in such detail, where is all the experts at?

Saved - September 9, 2023 at 1:58 AM
reSee.it AI Summary
Dr. Masanori Fukushima, a retired professor from Kyoto University, strongly criticizes the government over the Covid vaccine. He warns of the dangers associated with it, including potential cardiovascular issues, autoimmune diseases, and suppressed natural immunity. The vaccine's mRNA is wrapped in nanoparticles, which are absorbed by every cell, altering their function. These nanoparticles can even cross the blood-brain barrier. Disturbingly, vaccinated individuals now make up the majority of Covid cases. The government's data supports this alarming trend. Humanity's well-being is at stake.

@NaphtalineLeBon - Le jour viendra où le peuple vaincra

Le Dr Masanori Fukushima , professeur émérite à l'université de Kyoto est furieux et s'en prend fortement au gouvernement à propos du " Vaccin " Covid : " Ces personnes blessées par le vaccin pleurent pour s'endormir la nuit , pendant que vous essayez de cacher des informations !! C'est un cas de DANGER DROGUE !! " « L'année dernière , je pensais que ça allait être un problème si ce vaccin se propageait et j'ai dit à des magazines professionnels que c'était illusoire d'essayer de sortir d'une pandémie par la vaccination !! Et maintenant , les gens commencent à comprendre à quel point ce vaccin ARNm Covid est vraiment dangereux !!! " Je veux dire , l'ARN est enveloppé de nanoparticules , cela signifie que chaque cellule du corps l'engloutit puis se transforme , le mécanisme est clair !!! " " Si vous ne vous sentez pas bien après la vaccination , consultez immédiatement votre médecin , vous pourriez souffrir d'une maladie cardiovasculaire , d'une maladie auto-immune , d'une susceptibilité aux infections et bien d'autres choses !!! " « Ces nanoparticules sont également absorbées par le cerveau et traversent la hémato-encéphalique , seul un scientifique stupide dirait qu’elles ne le feraient pas !! Les gens avaient une immunité naturelle contre le Covid mais à cause de la vaccination , leur immunité naturelle a été supprimée ! Les personnes qui sont infectées par le Covid maintenant sont les vaccinés et NON les non vaccinés , les données du gouvernement parlent d'elles-mêmes !! " QU'ONT FAIT CES GENS A L'HUMANITE ?

Video Transcript AI Summary
Many people who were involved in the event and didn't neglect it have retired because they heard that some people were using drugs. It's difficult to mix luxury drugs and convey them. Lessons were taken from the era of using substitutes, but now the country can no longer use substitutes. However, they ignore this and continue to import and promote the vaccine to the people. They believe that the vaccine will solve the pandemic, but I think it's just a delusion. It's dangerous to put it in a specialized university parking lot. All cells ingest it and convert it into the oldest region. It's clear now. Dissolve immediately and conduct investigations. Vaccinated people have worsened their conditions and everyone should be aware of this. They are more susceptible to cardiovascular diseases, autoimmune diseases, and infections. The nanoparticles are absorbed into the brain. It's not safe just because the blood doesn't flow through. It can change natural immunity. The reason why the virus didn't spread in Japan was because there was IgA in saliva and a surveillance system against Corona. However, because of the vaccine, natural immunity is now being questioned. Jealousy is also not decreasing, it's spreading rapidly. Almost everyone who is searched on the internet is a breakthrough infection. Those who haven't been vaccinated are getting infected, not those who have been vaccinated. This is all clear from the data provided by the Ministry of Health, Labour and Welfare.
Full Transcript
ほとんど が な き め り が出る たまたま 集合 ガイド して わかった 人 について これ イベント が ほ ったら か してない の やって た って言う から 引退 した って 人 とか と 薬 剤 が どう だった 母 と さん 同じ も それは 苦しい んだ 贅沢 な なん ぞ や その 薬 剤 を 混 んで 伝える その 時代 役 代 から レッスン を受けて もう 二 度 と 役 代 ができない 国 になっている んです だけど それを 強 引 に 無視 して 南 条 へ も 使って この 悪 にも が って 輸入 して 国民 に 先 導 して だから じっと も た まらない で 逆に この ワクチン が 普及 すると 困る と思って この ワクチン によって ファン デ ミック が 解決 する と思う の は 妄想 であると 感じました 専門 大学 に な っ 何 パー キング に 積んで 入れる ことが いかに 危険 だ っていうこと か あらゆる 細胞 が それを 飲み 込んで それで 最 古 圏 に 変換 して い っちゃう そこで も 今 わかった んですね デ カ い ず も はっきり してる 即 刻 状態 に 解散 して 宣伝 調査 しなさい それが 結論 だけ 全然 調和 なんだよ だから ワクチン 打って から 障 子 が悪く な っ 人は みんな 医療機関 に 周 知 して もっともっと して ちゃ ダメ で ない どころか わかんない 心 血管 障害 自己 免疫 疾患 感染 しやすい それから 脳 に戻る 、 ナ ロ パーティクル は 脳 に 取り 込まれ るんですよ これは 頭の 悪い なって は 血液 感 も 通 らない から 大丈夫だ と 馬鹿 じゃない って言ったら 自然 免疫 を変え られる だから 日本人 が 初めて 蔓 延 しなかった の は 唾 液 中に ig a があって コロナ に対して 捜査 体制 があるから 答え られて た んですよ ところが ワクチン 打った ために それが ちょっと 相談 される 自然 免疫 を 疑 われた から こういうこと になってる んですよ 嫉妬 も 下 が らない ね どんどん 広がり ます 今 ブレ ッ フル パー セン で 検索 された もう ほとんど の人が ブレイク スルー 感染 ですよ 今 枠 かかって る人 が ね 和 口に 打って ない人 がかかって んじゃない 和 口に 打った 人が 映 し 合って る 厚 労 省 から 提示 されている データ で 全部 明らか だから と お話し します
Saved - August 28, 2023 at 3:00 PM
reSee.it AI Summary
Nobel laureate Luc Montagnier, before his passing, voiced concerns about the Covid vaccine's long-term effects. The idea of vaccinating children troubles me, as it impacts future generations. We're in uncharted territory, lacking knowledge on the vaccine's lasting impact. Mandatory vaccination is an insane notion that I strongly condemn. Rest in peace, dear professor, your advice likely saved lives.

@bambkb - Kevin - WE THE PEOPLE❤️ - DAD🦁 🐉 🔥

Noble prize winner and Professor, Luc Montagnier warned us many times about the #Covid #Vaccine before he died : “I am OUTRAGED at the fact that we want to #Vaccinate the children, because then, we are really affecting FUTURE generations!!!” “We are in UNKNOWN territory here, we don’t know the LONG-TERM effect of this #Covid #Vaccine, and to proclaim MANDATORY #Vaccination is just INSANITY to me!!! It’s #Vaccination insanity that I totally CONDEMN!!!!” RIP good man, I’m sure that your advice saved many people’s lives

Video Transcript AI Summary
The speaker expresses concern about vaccinating children, as it may have long-term effects on future generations. They mention recent studies showing epigenetic effects of glyphosate, where consuming it can impact future generations. While these studies have been conducted on rats, the speaker believes it can be extrapolated to humans. They emphasize the importance of considering the future and potential unknown effects of mRNA vaccines on future generations. The second speaker agrees, highlighting the lack of knowledge about medium and long-term consequences of injecting substances without sufficient understanding. They argue against mandatory vaccination, stating that while not everyone will die from vaccines, some will suffer adverse effects that are unacceptable. These effects may include unknown side effects and potential generational impacts.
Full Transcript
Speaker 0: Je suis scandalisé par le fait qu'on veut aussi vacciner des enfants. Parce que là on touche vraiment aux générations futures. Il faut savoir que, par exemple, pour le glyphosate, n'est-ce pas, des travaux récents montrent qu'il y a des effets épigénétiques, c'est-à-dire les gens qui mangent du glyphosate dans leur alimentation, ils transmettent quelque chose qui va se produire dans les générations futures. Les fils, les petits fils, les arrière-petits fils vont souffrir. Bon ceci a été montré chez les rats pour l'instant, mais on peut extrapoler à l'homme. Donc, il y a des effets épigénétiques. Il faut penser à ça. C'est-à-dire, il ne faut pas seulement penser à ses propres générations, mais au futur. Et donc là le messager, l'ARN messager que vous injectez de votre vaccin peut très bien avoir des effets aussi pour les générations futures qu'on ne détecte pas si on ne les cherche pas. Speaker 1: Donc là c'est la persistance on va dire de ces substances qu'on injecte sans vraiment connaître les conséquences à moyen terme et à long terme. Speaker 0: Absolument là on nage dans au total, et et et c'est proclamer la vaccination obligatoire pour tous, c'est c'est une folie. C'est une folie vaccinale contre à, contre lequel je je m'élève absolument, et je ne dis pas bien sûr que, et ce que j'ai jamais jamais dit, et je ne prédis pas que tout le monde va mourir du vaccin, mais un certain nombre de personnes vont souffrir du vaccin, et ça ce n'est pas admissible. Speaker 1: Donc ils vont souffrir au travers d'effets secondaires, qu'on n'a pas encore observé, qu'on n'a pas encore mesuré dans les études, parce qu'on n'a pas assez de recul. Speaker 0: Exactement, il y a des effets à plusieurs générations peut-être aussi, mais a des effets sur la même génération au bout de cinq ans, au bout de dix ans. C'est tout à fait possible notamment pour les, ce qu'on appelle les benines non dégénératives. Alors, il y a des séquences de qui ressemblent à des séquences de prions dans le l'ARN du coronavirus, et ces prions peuvent ordonner, il faut désordonner plutôt des protéines naturelles du cerveau, pour les modifier et en faire des des prions.
Saved - October 31, 2023 at 10:06 AM
reSee.it AI Summary
Dr. Charles Hoffe reveals evidence that the Covid vaccine increases susceptibility to the virus. These vaccines not only have severe side effects but also raise the risk of Covid infection. This dangerous experimental intervention violates the Nuremberg Code.

@bambkb - Kevin - WE THE PEOPLE❤️ - DAD🦁 🐉 🔥

🚨🚨🚨Dr. Charles Hoffe presents EVIDENCE that the #Covid #Vaccine actually causes you to be more susceptible to getting #Covid😳 In other words, these #Vaccines don’t just come with deadly and health changing side-effects, but they also make it more likely for you to get infected with #Covid This #Covid #Vaccine is outright DANGEROUS and the people that pushed this EXPERIMENTAL MEDICAL INTERVENTION should be tried for a CLEAR VIOLATION of the #NurembergCode

Video Transcript AI Summary
This video discusses the failure of a new type of vaccine, which the speaker refers to as an "anti-vaccine." They argue that getting vaccinated actually increases the risk of getting and spreading COVID-19, as well as damaging the immune system and increasing the likelihood of hospitalization and death. The speaker presents a study from Cleveland, Ohio, involving 51,000 healthcare workers, which shows a direct correlation between the number of vaccine doses and the likelihood of getting and spreading COVID-19. They also mention data from New South Wales, Australia, indicating that the more vaccine doses received, the higher the number of people ending up in ICU. The video suggests that the more shots one receives, the more damage is done to the immune system.
Full Transcript
Speaker 0: This new type of vaccine turned out to be a complete failure. In fact, what they had created was not a vaccine, but an anti vaccine. Do you remember that we were told that the way out of this pandemic was to get everyone vaccinated? That was what was going to keep us safe. But what I want to show you next was that literally what has happened to Canada is exactly what happened to those laboratory animals that we're tested with the vaccine against the very first SARS virus, that so called vaccine ended up working as an anti vaccine and made them more vulnerable to the disease than if they had not been vaccinated? So what we now have is a pandemic of the vaccinated. I'm going to show you the evidence that this so called vaccine is actually an anti vaccine and that it has increased people's risk? It increases your chance of getting COVID, it increases your chance of spreading COVID, and it damages your immune system to such to a degree that you have a higher risk of hospitalization and death? And, of course, that's what the narrative that the public health keep telling us that even though they now admit it doesn't stop you getting COVID, it doesn't stop you spreading COVID, they say it'll keep you out of hospital. At least you won't die. And I'm gonna show you the evidence for why that is absolutely false? This is a very important study that came out a few months ago from Cleveland, Ohio. This was a study done on health care workers, 51,000 health care workers that had had various numbers of COVID injections. The bottom of the graph is the passage of time and they followed these people for 3 months to see who was getting COVID and of course, the people that are getting COVID are the people who are spreading COVID. So there are 5 lines there. The black line at the bottom is the is the people that were unvaccinated, 0 doses of this vaccine. They were getting less COVID than anyone else. The next line up, the red line is those that had had 1 dose of the vaccine. The green line, 2 doses. The blue line, 3 doses and the top line, the brown one, were the people that had had the bivalent booster, the one that's they were getting COVID more than anyone else. There was an absolute direct linear correlation that the more shots you got, the more likely you would get COVID and the more likely you would spread COVID. So what about severe injury and death? This is from New South Wales, Australia. This is 2 bar graphs. The 1 on the left is a bar graph with 4 bars showing again the number of vaccine doses. The graph on the left, those columns are people in hospital? The graph on the right is people in ICU. Just for the sake of time and simplicity, let's look at the one of ICU, the graph on the right, you can see the people that had 0 doses. In other words, the unvaccinated, there were absolutely none of them in ICU. 0. Of the people that had 1 shot, very few in ICU and literally the more shots they had, the more likely they would end up in ICU. It was an exact linear relationship? The more accumulated damage to your immune system from these boosters, the more Tom, that you would have from this disease?
Saved - November 14, 2023 at 7:33 AM

@ascot_john - John Schroder Ascot Advisory Services

#CovidVaccines #COVIDVACCINE #vaccineinjuries #vaccinedamage #autoimmune @EthicalApproach Dr. Hong reports on a Japanese study claiming 5 mRNA vaccine shots destroys your immune system 🤯 Who knew? 🤔 https://www.youtube.com/live/xs77f4WhmIE?si=nvsILfkpGhJrxUi4

Saved - November 25, 2023 at 2:44 AM

@Jo_Bond - Jo Bond❤️

Dr Peter McCullough explains to Maria Zeee why he believes that mRNA Covid 19 Vaccines cause Neurodegeneration, Viral Reactivation and Cancer in some people! @P_McCulloughMD @zeee_media #CourageousDiscourse #McCulloughFnd Please consider supporting the McCullough Foundation: http://www.mcculloughfnd.org

Video Transcript AI Summary
People around the world are reporting increased intolerance, impatience, and slower thinking. Some struggle with simple equations. There is a need for more studies to understand this phenomenon. Certain neurologic syndromes have been linked to vaccines, such as viral reactivation. Examples include a former US Senator who had lethal neuroinvasive varicella zoster reactivation, a pop singer with Ramsay Hunt syndrome affecting his facial nerve, and a man in Greece who developed an invasive basilar cancer in the temporal area after receiving the COVID-19 vaccine. These cases are well-documented and published in peer-reviewed literature. It is the first known case of COVID-19 vaccine-induced fatal cancer with a neuroinvasive syndrome.
Full Transcript
Speaker 0: I ask this because a lot of people around the world and I I know it's happening from every country because I have people across my channels, you know, that are everywhere. And they say that they are seeing, you know, people are becoming more intolerant, more impatient, at the same time, a lot slower in their thinking process. They seem to struggle with, you know, simple equations even. And I wonder, you know, and I've interviewed Doctor. Seneff as well on this particular paper you referenced. I wonder whether this could be the explanation at a more widespread level and Hopefully we'll have some more studies to that effect. Speaker 1: Yeah, it's hard to know. I can tell you there are some neurologic syndromes that I'm very confident are as direct The vaccines and they're largely ones where it's viral reactivation. So for instance, A former US Senator Dianne Feinstein had neuroinvasive varicella zoster reactivation or Shingles that, affected the, the facial nerve and invaded the brain and was lethal for her. Justin Bieber, A popular pop singer has Ramsay Hunt syndrome and that damages again the facial nerve And, and he, in his eye, in his mouth and he can't sing or perform. He's now 2 years. He cannot, You know, he cannot perform. And then lastly, another neuroinvasive syndrome. This is really disturbing. 1st author is Karyagokoulos and colleagues. I'm Also an author on that paper, a man in Greece took, the COVID nineteen vaccine shots primary series And developed an invasive basilar cancer in the temporal area. It, destroyed his facial nerve and the trigeminal nerve And went right into the brain and was lethal. So this is well documented. This is published now in the peer reviewed literature. It's searchable in the National Library of Medicine. That's probably the first case of, of, of certainly COVID nineteen vaccine induced fatal cancer and it's interesting That it was a neuroinvasive syndrome.
McCullough Foundation Peter A. McCullough, MD, MPH Fighting for medical freedom through scientific data and analysis. mcculloughfnd.org
Saved - December 1, 2023 at 12:59 AM
reSee.it AI Summary
Over 3400 peer-reviewed papers in the National Library of Medicine highlight the adverse effects of the Covid vaccine. These effects fall into four major categories: Cardiovascular, Neurological, Blood clotting, and Immune system abnormalities. The vaccine's design seems to intentionally cause diverse injuries and deaths, diverting attention from its true impact. It is crucial to examine these findings and ensure public safety.

@bambkb - Kevin - WE THE PEOPLE❤️ - DAD🦁 🐉 🔥

🚨🚨🚨There are over 3400 peer-reviewed papers in the National Library of Medicine that show the #Covid #Vaccine is killing people 😳 : “The #Covid #Vaccine is killing people!!! It is not controversial and it’s NOT a theory, it is REAL and these #Vaccines cause very real side-effects and they are in 4 major categories : (1) CardioVascular (2) Neurological (3) Blood clotting (4) Immune system abnormalities” Did you guys honestly think that they were gonna kill and injure everyone the same way? Of course NOT!!!! They would get caught immediately!! Imagine, everyone just died of a heart attack? We would obviously know - But when people are getting injured and dying in all these different ways, then it obviously couldn’t be attributed to the #Vaccine🤡🤡 IMO, the #Vaccine was designed to kill and injure in different ways to keep the attention away from the #Vaccine🤷‍♂️ #NWO #TheGreatReset #Illuminati

Video Transcript AI Summary
There are over 3,400 peer-reviewed papers in the National Library of Medicine that describe fatal and nonfatal vaccine injury syndromes. These vaccines cause real side effects in four major categories: cardiovascular issues like heart inflammation and cardiac arrest, neurologic problems such as stroke and neuropathy, unprecedented blood clotting that doesn't respond to usual treatments, and abnormalities in the immune system.
Full Transcript
Speaker 0: As we sit here today, we have 34 100 peer reviewed papers describing fatal and nonfatal vaccine injury syndromes in the National Library of Medicine. It is not controversial. It's not a theory. It is real. These vaccines cause very real side effects, and they're in 4 major categories. 1 is cardiovascular and cardi heart inflammation, myocarditis, cardiac arrest. Number 2 is neurologic, all forms of stroke, Gambray syndrome neuropathy. Number 3, blood clotting. Blood clotting like we've never seen in medicine before. Blood clots that don't respond to typical blood thinners that are just a disaster. And number 4, immune system abnormalities.
Saved - December 10, 2023 at 11:38 AM

@tatiann69922625 - for a true and human medicine

Le Dr Mobeen Syed explique la nouvelle étude qui a fait l'effet d'une bombe et qui montre que les vaccins à ARNm entraînent la production de "protéines poubelles" par l'organisme 😔😡⬇️ Vidéo 🇫🇷 https://ezdubs-vod-api.com/result/1733532992075632762_en_fr

@TheChiefNerd - Chief Nerd

🚩 Dr. Mobeen Syed Explains the New Bombshell Study Showing mRNA Vaccines Cause the Body to Produce ‘Trash Proteins’ “We do not know what the cytotoxic T-cells will do. Will they learn a bad trashy mistranslated protein and go and attack some part of our own cells because of molecular mimicry?…Will they train our immune system to start attacking some part of our own body?” @drbeen_medical

Video Transcript AI Summary
Researchers conducted a study to investigate the production of incorrect proteins in mice and humans after vaccination. They found that one-third of the tested individuals produced antibodies against these mistranslated proteins, indicating their presence. The study highlighted the potential risks of mRNA technology, as multiple mistranslations could lead to the production of various incorrect proteins. These proteins may not be useful and could trigger an immune response. The researchers emphasized the need for further research to understand the impact on the immune system and prevent any potential harm.
Full Transcript
Speaker 0: What they did was, once they saw that there is a frame shift happening, and I'll explain that as well, or there's a problem happening, then they verified it as well. So So what they did was this is such an interesting thing. What they did was they infected some mice or they vaccinated some mice. They also took some humans who had taken this vaccine, and they actually looked at The immune system of the vaccinated mice and human beings, and saw if they are making antibodies against these mistranslated, incorrect garbage proteins as well. And they found that 1 third of the people that they tested We're making antibodies against these garbage proteins too, which was an evidence that these garbage proteins were produced in them. So if they were not produced, then they will not make antibodies against them. And so they verified that in mice and in humans as well. 20 humans, and then 1 third of them had Antibodies against these incorrect or mistranslated proteins. And remember, this is not just 1 mistranslation. What happens is that imagine if this was the actual protein to be produced, and there is a ribosomal, miss Function or slip. Then it is possible that another garbage protein that will be produced or mistranslated as we call it that might be this much. Then another might be this, another might be here. So various sizes of the proteins might be produced. And those proteins, Most of the time, they're not going to be useful. But they still have some, shape of the original some part of the original protein as well. So they're saying that if mRNA technology is going to be used multiple times more frequently in higher doses, Then this fix should be made, otherwise, the people would end up getting lots of trash, wrong proteins. And not only this, there are proteins that are wrong. Of course, our immune system, when it would see a bad protein, it would start attacking it as well, just like it would see a Good foreign protein like Spike, it would attack that too. So now our immune system, how would that react? What will happen? They actually talk about it here. It is important to continue investigating therapeutic mRNA translation and immunogenicity as the evolution of antibody and Lytic T cell response against plus one frame shift to spike variants and peptides has not been systematically evaluated. So they're saying, We should continue trying to research this area, because we do not know what will cytotoxic T cell do. Will they learn a bad, trashy A protein, a mistranslated protein, and go and attack some part of our own cells because of molecular mimicry. Will these bad products that were not intended, that we did not even foresee when they would occur, will they train our immune The stem to start attacking some part of her own body, so that is what they're saying, is that it is important to make sure that this doesn't happen because we do not know What cells will do with that?
Saved - January 4, 2024 at 1:26 AM
reSee.it AI Summary
Luc Montagnier MD was mocked for his work on the emergence of a human form of mad cow disease post injection. However, Romain Doyer's report reveals that Pfizer admits the vaccine caused Creutzfeldt-Jakob Disease, the human version of mad cow disease. Romain fights for justice for his mother and other vaccine-injured individuals in France. #BonneAnnee2024 #EffetsSecondaires

@SaiKate108 - Kat A 🌸

A tale of two heroes. On his deathbed Luc Montagnier MD was determined to complete his important work on the emergence of a human form of mad cow disease post inject. At the time they laughed and ridiculed him. But he was right!! Romain Doyer just reported that Pfizer admits in the expert file for the death of his mother Mauricette that the vaccine caused Creutzfeldt-Jakob Disease the human version of mad cow disease. Romain continues his fight for justice for his mother and the vaccine injured in France. 🙏❤️🙏

@SaiKate108 - Kat A 🌸

https://ijvtpr.com/index.php/IJVTPR/article/view/66

Emergence of a New Creutzfeldt-Jakob Disease: 26 Cases of the Human Version of Mad-Cow Disease, Days After a COVID-19 Injection | International Journal of Vaccine Theory, Practice, and Research ijvtpr.com

@SaiKate108 - Kat A 🌸

🙌🙌

@RomainDoyer - Doyer romain

#BonneAnnee2024 👉🏻 #pfizer vient d’admettre dans le dossier d’expertise pour le décès de ma mère #mauricette que le #vaccin #COVID19 a provoqué la maladie de la vache folle de type CJ comme #EffetsSecondaires connus. Voilà donc tous ceux qui sont vaccinés peuvent avoir un CJ.

Saved - January 22, 2024 at 11:06 PM
reSee.it AI Summary
Luc Montagnier, a virologist and Nobel laureate, has expressed concern about the potential dangers of the Covid vaccine. He believes that vaccinating children could have long-term effects on future generations. Montagnier condemns the idea of mandatory vaccination, stating that it is insanity. He warns about the presence of prion sequences in the RNA of the Covid vaccine, which could potentially disrupt natural proteins in the human brain and lead to neurodegenerative illnesses in the future.

@bambkb - Kevin - WE THE PEOPLE❤️ - DAD🦁 🐉 🔥

🚨🚨🚨🇫🇷 Professor, virologist and Nobel prize winner for the discovery of HIV in 2008, Luc Montagnier warned the public many times about the #Covid #Vaccine’s potential danger to humanity - Please listen to what he has to say : “I am OUTRAGED at the fact that we want to #Vaccinate the children, because then, we are really affecting FUTURE generations.” “We are in UNKNOWN territory here, we don’t know the LONG-TERM effect of this #Covid #Vaccine, and to proclaim MANDATORY #Vaccination is just INSANITY to me!!! It’s #Vaccination insanity that I totally CONDEMN!!!!” “For example, there could be neuro degenerative illness in the next generation or about 5-10 years from now, because there are PRION SEQUENCES in the RNA of the #Covid #Vaccine - These prion sequences could disrupt the natural proteins in the human brain”😳😳

Video Transcript AI Summary
The speaker expresses concern about vaccinating children, as it may have epigenetic effects on future generations. They mention that studies on glyphosate have shown such effects in rats, which could potentially be extrapolated to humans. The speaker emphasizes the importance of considering the future and not just one's own generation. They argue that the mRNA messenger injected through vaccines could have unknown effects on future generations if not properly studied. The other speaker agrees, highlighting the unknown consequences of injecting substances without sufficient understanding of their medium and long-term effects. They both oppose mandatory vaccination and express concern about potential suffering and side effects. The speaker mentions the possibility of neurodegenerative effects and the role of prions in modifying natural brain proteins.
Full Transcript
Speaker 0: Je suis scandalisé par le fait qu'on veut aussi vacciner des enfants. Parce que là on touche vraiment aux générations futures. Il faut savoir que par exemple pour le glyphosate, des travaux récents montrent qu'il y a des effets épigénétiques, c'est-à-dire les gens qui mangent du glyphosate dans leur alimentation, ils transmettent quelque chose qui va se produire dans les générations futures. Les fils, les petits-fils, les arrière-petits-fils vont souffrir. Donc ceci a été montré chez les rats pour l'instant, mais on peut extrapoler à l'homme. Donc il y a des effets épigénétiques, il faut penser à ça, c'est-à-dire il ne faut pas seulement penser à ses propres générations, mais au futur. Et donc là le messager, l'ARN messager que vous injectez de votre vaccin peut très bien avoir des effets aussi pour les générations futures qu'on ne détecte pas si on ne les cherche pas. Speaker 1: Donc là c'est la persistance on va dire de ces substances qu'on injecte sans vraiment connaître les conséquences à moyen terme et à long Speaker 0: absolument, là on nage dans l'inconnu totale et et et c'est proclamer la vaccination obligatoire pour tous, c'est c'est c'est une folie. Une folie vaccinatoire contre lequel je je m'élève absolument, et je ne dis pas bien sûr que, et ce que je n'ai jamais jamais dit, et je ne prédis pas que tout le monde doit mourir du vaccin, mais un certain nombre de personnes vont souffrir du vaccin, et ça ce n'est pas admissible. Speaker 1: Donc ils vont souffrir au travers d'effets secondaires qu'on n'a pas encore observé, qu'on n'a pas encore mesuré dans les études parce qu'on n'a pas assez de recul Speaker 0: Exactement, y a des effets à plusieurs générations peut-être aussi, mais il y a des effets sur la même génération, au bout de cinq ans, au bout de dix ans. C'est tout à fait possible notamment à ce qu'on appelle les benzines neurodégénératives. Alors il y a des séquences qui ressemblent des séquences de prions dans le l'ARN du coronavirus et ces prions peuvent ordonner, à désordonner plutôt des protéines naturelles du cerveau pour les modifier et en faire des prions.
Saved - March 3, 2024 at 3:11 PM

@bambkb - Kevin - WE THE PEOPLE❤️ - DAD🦁 🐉 🔥

🚨🚨🚨 SHOCKING list of possible disease and illness associated with #Covid #Vaccination👇😳 Remember when they tried to hide the data for 75 years? Do you know how many people around me have gotten sick after taking the Vaccine? My sister is in her 20s and she suffers from Guillain-Barre now.

Video Transcript AI Summary
You say "get the facts" to avoid death. Mentioning masks, vaccines, booster shots, the Omicron variant, the Wuhan lab, vaccine passports, and Pfizer.
Full Transcript
Speaker 0: Oh, now you say get the facts so we will end up dead. A, b, c, d, e, f, u, and your mask, and your super little vax, and your booster shot, and your omicron fuck you, and you jab in the fucking Wuhan lab and your vaxx passports and your Pfizer cohorts.
Saved - March 3, 2024 at 3:44 PM
reSee.it AI Summary
Dr. Masanori Fukushima criticizes the Japanese government for hiding information about the Covid vaccine and expresses concern about its dangers. He believes that the mRNA vaccine, wrapped in nano particles, can cause various health issues, including cardiovascular and autoimmune diseases. He argues that vaccinated individuals are now more susceptible to COVID compared to the unvaccinated. Dr. Fukushima questions the impact of these actions on humanity, using hashtags like #CrimesAgainstHumanity and #VaccineGenocide.

@bambkb - Kevin - WE THE PEOPLE❤️ - DAD🦁 🐉 🔥

🚨🚨🚨🇯🇵Dr Masanori Fukushima, Professor Emeritus at Kyoto University is furious and absolutely goes OFF on the Japanese government about the #Covid #Vaccine : "These #Vaccine injured people cry themselves to sleep at night, while you try and HIDE information. This is a case of DRUG HARM!!” “Last year I thought it was going to be a problem if this VACCINE spread and I told professional magazines that it was DELUSIONAL to try and get out of a pandemic by #Vaccination!! And NOW people are starting to understand HOW DANGEROUS this #mRNA #Covid #Vaccine really is!!!” “I mean, the MRNA is wrapped in nano particles, that means EVERY CELL in the body engulfs it and then TRANSFORMS, the MECHANISM is clear!!!”😳😳 “If you don’t feel good after vaccination, go to your doctor immediately, you could be suffering from CARDIOVASCULAR disease, AUTOIMMUNE disease, susceptibility to infection and many other things!!!” “These nano particles are also absorbed by the brain and they DO cross the BLOOD-BRAIN barrier, only a STUPID SCIENTIST would say that they wouldn’t!! People had natural immunity to COVID but Due to vaccination, their natural immunity has been SUPPRESSED!!! The people that are infected with COVID now, are the #Vaccinated and NOT the #Unvaccinated!! The government data speaks for itself!!”🔥🔥🔥🔥 What have these people done to humanity? #CrimesAgainstHumanity #VaccineGenocide

Video Transcript AI Summary
私は、司法解剖で薬害を受けた人々についての意見書を出すことを隠蔽したくない。ワクチンによるパンデミック解決は妄想であり、メッセージRNAの危険性が明らかになってきた。ワクチン接種後に体調不良を訴える人は医療機関に報告すべきであり、自然免疫が抑えられることによって問題が広がっている。現在、多くの人が感染しており、ワクチン接種者同士の感染も起きている。厚労省のデータは明らかであり、この問題についてさらに話し合う必要がある。 I believe we should not hide the fact that we are issuing opinions on those who have been affected by drug harm through judicial autopsies. The idea that the pandemic will be resolved by the vaccine is a delusion, and the danger of messenger RNA has become clear. People who feel unwell after vaccination should report to medical institutions, as the suppression of natural immunity has led to the current situation. Many people are currently infected, including vaccinated individuals infecting each other. The data provided by the Ministry of Health, Labour and Welfare is clear, and further discussion on this issue is necessary.
Full Transcript
Speaker 0: は 死ん で る と 思 う 。ほとん ど が 泣き 寝 入り し て る ん だ から 、泣き 寝 入り だ っ て 、たまたま 司法 解 剖 し て 分かっ た 人 に つい て これ 意 見 書 を 出す と ほ っ た ら か し て な い の ?何 やっ て ん だ っ て こと は 隠蔽 し た く て しょう が な い ん です よ 、この 地 図 と 。 かっ て 薬 害 が そう だっ た 。 原 田 さ ん 、ものすごく それ を 苦 し ん だ わけ じゃ な い 。 何 と し て こう 薬 害 を 根絶 し な い と いう の は 、この 国 は 薬 害 から レッ スン 受け て 、もう 二 度 と 薬 害 が で き な い 国 に な っ て る ん です 。だけど それ を 強引 に 無 視 し て 、何 兆 円 も 誓 っ って こ の ワクチン 輸 入 し て 、国民 に 扇 動 し て 、 だ から ちっとも 収 ま ら な い ん です よ 。それ です が 去 年 こ の ワクチン が 普 及 する と 困 る と 思っ て この ワクチン に よっ て パン デミック が 解 決 する と 思 う の は 妄 想 で ある と 断じ ま し た よ 、専門 雑 誌 の 中 で 。 もう ミス コン セ プト する の で 、今 よう や く こ の こと が 分かっ て た メッセージ RNA を 何 パー っ て くる 何 パー ティ クル に 包 ん で 入れる こと が い か に 危 険 か っていうこと が あ ら ゆ る 細 胞 が それ を 飲み 込ん で 、それ で 細 胞 が 変換 し て っ ちゃう ん です よ 。そう いう 方 が もう 今 分かっ た と 思 う の ね。 メ カ ニズム は っきり し て る。 即 刻 評 退 委 員 解 散 し て 前例 調査 し な さ い 、これ が 結 論 だ で、 前例 調査 で は 。だから ワクチン 打っ て から 調 子 が 悪く な っ た 人 は みんな 医 療 機 関 に 周 知 し て 、 も た も た し て ちゃ 駄 目 です。 何 が 起 こ る か 分 から な い 。 心 血 管 障 害 、自己 免 疫 疾 患 、感染 し やす い 、それ から 脳 に も 来 る ん だ 、ナ ロ パー ティ クル は 脳 に 取り組ま れる ん です。 これ を 頭 の 悪 い 学 者 は 血 液 タン ブン は 通ら な い から 大 丈夫 だ っ て こと 。 バ カ じゃ な い っ て 言 い た い 。自然 免 疫 を 抑 え ら れる ん です 。だから 日本 人 が 初め ね 、 蔓 延 し なかっ た の は 唾液 中 に IG A が あっ て 、コロナ に は 対 し て 考 査 体 制 が ある から 抑え ら れ て た ん です よ 。 ところ が ワクチン 打っ た た め に それ が シャ ット ダウン さ れ た 。自然 免 疫 が 抑 え ら れ た から こう いう こと に な っ て る ん です よ 。 ちっとも 収 ま ら な い ん です よ 。 どんどん 広がり ます よ 、今 、ブレーキ トゥルー 感 染 を 計 算 し ま し た 。もう ほとんど の 人 が ブレイ クス ルー 感 染 です よ 。 今 は かかっ て る 人 が ね 、ワクチン 打っ て な い 人 が かかっ て る ん じゃ な い の ワクチン 打っ た 人 が 移 し 合っ て る 厚 労 省 から 提 示さ れ て いる データ っ て 全 部 明らか だ から あ と お 話 し ます 。 データ 全 部
Saved - April 1, 2024 at 9:21 PM

@MeasslainteIE - Thomas Anthony III

Luc Montagnier's last paper, in peer review when he died: "We present 26 cases of Creuzfeldt-Jacob Disease, all diagnosed in 2021 with the first symptoms appearing within an average of 11.38 days after a Pfizer, Moderna, or AstraZeneca COVID-19 injection" https://ijvtpr.com/index.php/IJVTPR/article/view/66 #TheyKnew May he rest in peace 🕊️

Video Transcript AI Summary
Les vaccins actuels sont critiqués pour leur inefficacité à empêcher la transmission du virus et pour causer des effets secondaires graves, y compris des maladies neurologiques. Certains jeunes sportifs sont décédés après avoir été vaccinés en raison de la toxicité de la protéine virale synthétisée par le vaccin. Il est urgent d'arrêter l'utilisation de ces vaccins pour éviter davantage de décès et de complications neurologiques. Les médecins qui continuent à administrer ces vaccins sont tenus pour responsables de leurs conséquences. Translation: Current vaccines are criticized for being ineffective at preventing virus transmission and causing serious side effects, including neurological disorders. Some young athletes have died after vaccination due to the toxicity of the viral protein synthesized by the vaccine. It is urgent to stop using these vaccines to prevent further deaths and neurological complications. Doctors who continue to administer these vaccines are held accountable for their consequences.
Full Transcript
Speaker 0: Parce qu'ils ont été synthétisés, créés sur une stratégie qui est une erreur, une mauvaise erreur, une énorme erreur de stratégie. La stratégie était uniquement de favoriser ces produits qui n'étaient que par des bassins qui étaient produits de transmission géniques également. Et donc, ils ont, on a montré toute la nature a montré, tous les essais ont montré que ces vaccins ne protégeaient pas contre la transmission contrairement à ce qui avait été annoncé au départ. Alors ceci est reconnu maintenant par Ce n'est pas seulement les expériences cliniques, mais c'est tous les résultats, toutes les maladies qui a causé, qui ont causé ces vaccins. Speaker 1: Non fonctionne, Speaker 0: Car souvent au lieu de protéger, d'empêcher la dureté de la maladie, ils ont un effet inverse, ils favorisent de nouvelles infections. Et ils ont malheureusement des effets plus graves, car la protéine du virus qui est synthétisée par l'ARN messager contenu dans le vaccin, cette protéine est toxique pour les cellules, c'est un poison. Speaker 1: La protéine a questatoulizata daivachine, Speaker 0: Et en fait, elle touche des organes comme le coeur, des jeunes sportifs meurent à cause de de leur vaccination. Ce n'est pas tolérable, les vaccins ne sont pas faits pour tuer, ils sont faits pour protéger. Donc c'est un crime de d'annuler ces vaccins à des enfants. Mais il y a plus grave encore. Ces vaccins semblent causer des maladies nerveuses du cerveau. Très grave. Speaker 1: Pourquoi vous arrange que maladie Speaker 0: Et il y a déjà des dizaines de personnes qui meurent à cause de ces effets à long terme du vaccin. Speaker 1: À Causa di Causa longotherme Igosovachino, je suis senti si mes personnes et gasano talement Speaker 0: te Morando. Et même parfois c'est au bout de la deuxième injection de vaccin que déjà les signes neurologiques se déclarent. Et personne ne peut prévoir prévoir, personne ne peut prévoir de combien de personnes vaccinées souffriront ou non de ces syndromes neurologiques. Et, Donc je demande avec d'autres collègues qu'il faut arrêter les vaccinations avec ces vaccins. Les médecins Speaker 1: qui continuent, Speaker 0: Les médecins qui continuent à vacciner sont parfaitement informés de ça. Ils ne l'étaient pas au début, ils le sont maintenant. Attention, attention, ils sont responsables de Speaker 2: et non soltante de la préventions Speaker 1: et donc
Emergence of a New Creutzfeldt-Jakob Disease: 26 Cases of the Human Version of Mad-Cow Disease, Days After a COVID-19 Injection | International Journal of Vaccine Theory, Practice, and Research ijvtpr.com
Saved - June 18, 2024 at 4:54 AM

@liz_churchill10 - Liz Churchill

Horrific. Japanese Neuroscientist Dr. Hiroto Komano STUNNED at the onset of Dementia and Cognitive Impairment for those ‘Covid Vaccinated’ as he recites a Study of over 600,000 people. Crimes Against Humanity. https://t.co/lJrLkMNztd

Video Transcript AI Summary
先生方のプロフィールを紹介します。コマ野先生は薬学博士であり、100年生き方塾の代表理事を務めています。最近の研究では、コロナワクチン接種後に認知症リスクが増加することが示されました。65歳以上の人々に対する55万人の調査では、ワクチン接種者の認知症リスクが未接種者に比べて2倍増加しました。この結果は深刻であり、認知症の増加は重要な問題です。 Translation: Let me introduce the profiles of our guest speakers. Dr. Komanoya, a pharmaceutical doctor and representative director of the 100-Year Living Institute, discussed recent research showing an increased risk of dementia after receiving the corona vaccine. In a study of 550,000 people aged 65 and older, the risk of dementia for vaccine recipients doubled compared to non-recipients. This finding is concerning, highlighting the significant issue of dementia increase.
Full Transcript
Speaker 0: それ で は 、ゲスト の 先 生 方 の プロ フィー ル を です ね 、ここ で まず ご 紹介 さ せ て いただき た い と 思い ます 。 まず は コマ 野 先 生 です。 コマ 野 先 生 は 薬 学 博 士 、一般 社 団 法 人 100 年 生 き 方 塾 の 代 表 理 事 を さ れ て お り ます 。 ブレイ ン フィット ネス コー チング 主 催 東京 大 学 部 ご 卒 業 後 、同 大 学 助 手 、そして 米 国 スタンフォード 大 学 ミシガン 大 学 医 学 部 研究 国立 長 寿 医 療 研究 センター の 室 長 、そして 、岩手 医 科 大 学 薬 学 部 教 授 北海道 大 学 大 学 院 、薬 学 研究 員 客 員 教 授 を 経 Speaker 1: て 経験 職 。 僕 の 専 門 が おかしく な っ た ん じゃ な い か と 思っ て る んですけど 、僕 は 認知 症 、神経 科 学 っ て いう の を 専 門 と し て 研究 し て い た の で 今 回 の レ プリ コン ワクチン です ね 、あり は い ま せ ん 。これ は 最 近 論 文 が 出 た ん ですよね 。 日 常 と の コロ ナ ワクチン と の 患 者 さ ん も よく 言わ れ て た んだけど 韓国 で 調べ た ん です よ 。これ すごい 人 数 を ね 、55 万 の 人 数 を 調べ た ん です よ 。それ も 二 回 打っ た ワクチン に 限ら せ た わけ 。そし て 一 ヶ 月 後 、二 ヶ 月 、三 ヶ 月 と 全 部 そ の データ から 解析 し て た ん です ね 。そし て 六 十 五 歳 以上 、二 回 ワクチン を 打っ た 人 だけ それ で 何 ヶ 月 後 に どう な っ て る か と いう の を そ の 国 民 健 康 保 険 に 載 っ て いる データ を 解析 し た ん です よ そしたら です ね 、もう 見 事 に です ね 、これ ね これ ちょっと 見 に く く て い い ん じゃ な い んだけど 、五十 八 万 で ね コントロール 非 セッション は 確 か 10 万 ぐらい だ っ た と 思い ます 。 m ci っ て いう の を ここ に 書い た んですけど 、これ 六 十 五 歳 以上 です ね。 MC I っ て いう の は マイル ド コ グ ニ ティブ ・イン ペ ア メント っ て 経 度 認 知 症 の こと を 言 う ん です ね。 経 度 認 知 症 Speaker 0: 。 Speaker 1: 認 知 症 は 映 る 前 段 階 な ん です よ 。これ が 2 倍 増 え て た ん です よ 。 ワクチン 接種 者 未 接種 者 に 比べ て 、これ で か い です よ 。そし て 三 ヶ 月 後 です よ 、三 ヶ 月 後 っ て 限ら せ て 、そして 認 知 症 、 アルツハイマー 病 に な っ た の は 二 十 何 パー セント 、 有意 に 上がっ て た ん です ね 。これ は です ね 今 ね あ の ワクチン じゃなくて コロ ナ で ぼけ ちゃっ て ぼけ る っ て 意 味 は 焦 点 が 外 れ ちゃっ た けど 、認知 症 っ て いう の は 今 六 十 五 歳 以上 だ と 五 人 に 一 人 は 認 知 症 に な っ て る ん です よ 。 薬 が な い ん です よ 。 だ から みんな すごく 介 護 そ の 他 で 非常 に 水 質 感 の 長 い 間 10 年 ぐらい で よう や く 亡 く な っちゃ っ て い く っ て いう 軽度 認 知 症 の MC I が もう そ の 二 倍 以上 増 え た 2。4 倍 に 増 え た っていうこと な ん です ね 。それ が どう し て 起 き る か っていうこと の 一 つ の 可能 性 と し て 今 これ 認 知 症 は どんどん 増 え て っ て こと 。 今 どんどん どんどん 増 え て て 、この ワクチン で 全 く 増 え ます よ 。ただ です ね こ の ワクチン 、コロナ ワクチン プリ コン ワクチン を 打 つ こと に よっ て です ね 、何 が 起 き る か と いう と です ね 、多く の 人 が IG GO な ど の 誘導 に よっ て 免 疫 が 弱 く な っ て 他 の 病 気 で 死ぬ そして 子 供 に 移 っ て 子 供 が 生 ま れ なく なる ある い は 子 供 に 何 か 毒性 が それ だけ じゃなくて 認 知 症 が 増 える っ て いう いい こと 何 も な い です よ Speaker 0: 。 Speaker 1: 認 知 症 増 え た ら ね これ 大 変 です よ 。 死な なく て 生 き 残っ た 高齢 者 は 認 知 症 に 今 度 なる 危 険 で 。 で 。 5 人 に 1 人 、65 歳 以上 5 人 に 1 人 は 認 知 症 に な っ て る ん です よ 、日本 の 状 況 は 。これ 5 人 に 2 人 に なる っ て
Saved - August 2, 2024 at 12:06 PM
reSee.it AI Summary
I reflect on Tucker Carlson's exploration of the Covid response, questioning why the medical establishment promoted the vaccine despite its apparent ineffectiveness. Dr. Michael Nehls suggests that the true aim was to influence human minds, citing a study indicating that the spike protein could cause neuroinflammation, affecting memory similar to Alzheimer’s. This raises the possibility that such effects contributed to the widespread acceptance of programmed beliefs during the pandemic, leading to mass formation.

@toobaffled - “Sudden And Unexpected”

Covid and It's "Vaccine" Were Vital to Physically Change Human Minds to Accept The Great Reset Tucker Carlson considers what is behind the whole Covid response that didn't make sense to so many on so many levels. He asks for example, "Why did the medical establishment push the Covid vax on the world even when they knew it didn’t work?" Dr. Michael Nehls says it wasn’t about money. It was about conquering the human mind. It seems that he has evidence from a 2007-2008 study that shows the spike protein is capable nuero inflammation and cytokine storm leading to significant impact on memories, both new and old just as it does in Alzheimer patients. He believes that this has led to people unable to learn beyond what they were programmed to believe under Covid. Could this explain how mass formation has been so effective through Covid? Tucker on X

Video Transcript AI Summary
The speaker discusses the potential impact of COVID-19 on the brain, suggesting that the virus and vaccines may alter thinking and memory. They highlight the importance of neuroinflammation and the production of new nerve cells in maintaining mental health. The conversation shifts to the idea that governments may be using fear and manipulation to control people's minds, leading to the suppression of individuality and memory. The speaker concludes that this could be the most evil act ever committed.
Full Transcript
Speaker 0: Well, things are changing so fast that it's hard to think about what the future might look like, but pause for a second and force yourself. What will the world look like in, say, 10 years, 15 years, 50 years? Well, the outlines are pretty clear. If the people who run things, powerful forces, and by that, we mean very specifically the US government, the Chinese government, the UN. If they have their way, there will be a lot less private property, a lot less privacy for the average person, and for the average person, a lot of really big decisions we made not individually, but by machines. So that's clearly the direction we're going. The question is who wants that? And the answer is very, very few people. That's dystopian. Doesn't quite capture it. That's horrifying. That's a nightmare. And so if you had to bring about that future with the consent of the governed as in a democracy, that would be impossible because no one will ever want that. It's too ugly and sad. It's clearly anti human. It's a dead end. So how do you do it? Well, you only have 2 options. You can use force. Just put a gun in people's face and say, do this, accept this, or I'll kill you. But that's messy and hard, and it requires a lot of guns. It also requires a kind of muscular attitude, an aggression, not just a passive aggression. Probably not gonna happen. Or you can do something else. You can make people want it. That's very different from convincing them. There's almost no effort to convince you of anything anymore in case you haven't noticed. They've totally given up on argument as a means of reaching some kind of mutual consent. It doesn't exist anymore. But they can instead make you want it. Well, how would they do that? Well, the fastest way to do that would be by, say, changing your brain. Is that happening? Well, you have to kinda wonder. What was COVID by the way? It was the other day, it feels like. We haven't really talked about what that was. It wasn't just some random virus. It probably wasn't even just a lab leak accidentally. This was a bioweapons lab run by the Chinese government, paid for in part by the US government, and it went global. But it really went to the west. That's the truth. To the English speaking world. To Europe. And it seemed to have changed people. So what's going on here? Is something going on here? And if so, what can you do about it? How do you preserve the sovereignty of your own mind? Maybe that's the most important question. Very few people are thinking about this seriously. Lots of people were speculating about it, but very few scientists are looking at the specifics of how this might be done and what you might do about it. In fact, there's really just one that we're aware of, and we're about to meet him. He is German. His name is Michael Nels. He's a medical doctor physician. He's a molecular geneticist. And he's written what seems to be an amazing new book called The Indoctrinated Brain. How to successfully fend off the global attack on your mental freedom. And we are honored to have him join us now. Doctor Knowles, thank you very much. Speaker 1: I'm very honored to be here. Thank you very much. Actually, it honors my work. Speaker 0: Well, and we're honored to have you. So I I sort of non technically and may be grossly, generalized, summarized this idea, but I'd like you to bring some science to it. That maybe COVID, not just the vaxx, but the virus itself change the way people think and feel about themselves and understand themselves? Do you think that's possible? Speaker 1: Yeah. It's absolutely possible. It was already shown with SARS CoV-one, the predecessor of SARS CoV-two. Yes. It was published already in 2007, 2008 papers which showed that the spike protein itself is capable of doing something which we call neuro inflammation that means kind of a cytokine storm in the brain. And I've worked on this issue for the last 10 to 15 years actually published a paper Unified Theory of Alzheimer's disease, which is Alzheimer's most people think it's the cause is age but the real cause of Alzheimer's is actually neuro inflammation and our lifestyle. And so the reason it's age is correlated to it is just because it takes decades to develop disease. But neuroinflammation can be caused by many things. It can be caused by excessive fear, by fear mongering, neuroinflammation can be caused by bacteria, by viruses, by infection, chronic infections? Speaker 0: Yes. Speaker 1: So it was shown that in order that HIP composites our autobarticulate memory center which is the center where Alzheimer's starts needs to be functional something which we call adult hippocampal neurogenesis permanent production of new nerve cells which have many, many functions we need to talk about. They are essentially our mental immune system and if this production is essentially shut down then our mental immune system breaks down and we are free for everything. I mean, we are we can't be conquered, and we would even accept it. Speaker 0: Why after the mRNA vax was shown not to stop transmission. Did governments continue to push it on their populations? Speaker 1: Absolutely. They push it even on on on unborn children, you know, and there's Yes. Women who are pregnant, young children. So I these are all different pieces of a puzzle I couldn't understand and only when I realized it's not about health it's not about not even money, it's about, conquering the human mind, then it totally made sense suddenly and all the pieces of the puzzle fell together seamless and I had a picture in front of me which clearly showed what they are up to and that is really to undermine the human ability to think and it's even worse than that. It's even worse than that which I show in the book because we need this production of these new nerve cells not only for curiosity, psychological resilience or our ability to think they are also necessary for memorizing and retrieving new memories. So if you shut down this production and force the hippocampus to memorize all these different stories this fear mongering narratives. Then these narratives will enter the brain, they will be memorized in the hippocampus, but for cost they will override pre existing memories. There's no other way around it because we have no production of new nerve cells allowing new memories form without harming previous ones. So what happens is you override with the narratives with the fear narratives with the technocratic narratives, you override your pre existing memories, your individuality or your personality and change it. Speaker 0: If intentional, this would be the most evil thing ever done. Speaker 1: Absolutely. Speaker 0: Thanks a lot for watching us on x. There is a lot more to see, and you can find it on tuckercorlson.com. We hope you'll join us.
Saved - January 26, 2025 at 8:03 PM

@BlackTomThePyr8 - Tom Czerniawski

And possibly to a large chunk of humanity as well. https://t.co/yW5qBNYBrS

@LindaTraitz - Linda Traitz

@ksorbs This is what "Doctor" Fauci's poison jab did to a friend of mine https://t.co/E34LgMi9zo

Video Transcript AI Summary
It's frustrating trying to make this new vaccine work. I understand the emotions involved; it's tough. Don't cry, everything will be okay.
Full Transcript
Speaker 0: Fuck me. It's stupid. Figure out how to make this work. You made this new This is a stupid vaccine? Yep. Oh, I'm so sorry. Why are you gonna cry? Don't cry. Don't cry. Why are you gonna cry? I agree. Because I'm
Saved - February 24, 2025 at 1:45 PM

@wdunlap - Wayne Dunlap

@DiedSuddenly_ The COVID VAX is Noneffective Poison! Ruining immune systems w/mRNA gene therapy so-called “vaccine" causes myocarditis, cancers, diabetes & others. Experimental mRNA is the largest medical HOAX in history! Millions of people died or permanently damaged. https://t.co/FKZE78J3yY

@SpartaJustice - Truth Justice ™

THE VACCINE IS KILLING PEOPLE: "I'm gonna be very clear about this and I recently just testified in the U.S. Senate, December 7th 2022. The Vaccine is Killing people and it's killing large numbers of people." Credible Estimate of 17 million global deaths from the Covid Vaccines.

Video Transcript AI Summary
I recently testified in the US Senate on December 7th, 2022. I want to be very clear: the vaccine is killing people, and it's killing large numbers of people. It fulfills all the criteria for the Bradford Hill tenets of causality for a medicinal product causing death. As of December 23rd, 2022, the CDC has recorded over sixteen thousand Americans that have died within a few days of taking the vaccine, and that's probably a gross underreport. I was recently at a conference in Romania on the COVID crisis. There was a lot of work trying to unpack what we actually understand, and I saw a credible estimate of something like seventeen million deaths globally from this technology. When you scale up to billions, it's not hard to reach a number like that with a technology this dangerous.
Full Transcript
Speaker 0: I'm gonna be very clear about this, and I've recently just testified in the US Senate December seventh twenty twenty two. The vaccine is killing people, and it's killing large numbers of people. It fulfills all the criteria for the Bradford Hill tenets of causality for a medicinal product causing death. Our CDC, as of 12/23/2022, has over sixteen thousand Americans that have died within a few days of taking the vaccine. And that's probably a gross underreport. Speaker 1: Yep. There was a press I was recently at a conference, in Romania on the COVID crisis, And so there was a lot of work trying to unpack what we actually understand, and I saw a credible estimate of something like seventeen million deaths globally from this technology. Speaker 0: Seventeen million deaths from the COVID vax? Speaker 1: Well, when, you know, when you scale up to billions, it's not hard to reach a number like that with a technology this dangerous.
Saved - May 1, 2025 at 8:56 PM
reSee.it AI Summary
I’ve been exploring the alarming connection between vaccines and autism, particularly focusing on the presence of aluminum in the brains of autistic children. This neurotoxin, used in vaccines, raises serious concerns about its effects during critical brain development. Many people are beginning to share their experiences of severe reactions, including regressive autism, which often occur post-vaccination. The evidence suggests that the rising autism rates correlate with vaccine uptake, challenging the narrative that vaccines are entirely safe. It’s crucial to address these issues for the sake of future generations.

@VigilantFox - The Vigilant Fox 🦊

The Shocking Mechanism Behind Vaccine-Induced Autism Scientists have found aluminum in the brains of children with autism—at levels HIGHER than almost any human brain tissue ever recorded. Aluminum is a known neurotoxin. It’s not supposed to be in the brain at all—especially not during early development, when the brain is most vulnerable. We know aluminum is used in many vaccines to amplify immune response—but where does that aluminum actually end up? @MidwesternDoc investigated. And what this medical researcher uncovered could change everything you thought you knew about vaccines. 🧵 THREAD

@VigilantFox - The Vigilant Fox 🦊

📍Before we break this wide open, do yourself a favor and bookmark this thread. You’ll want these receipts ready the next time someone smugly insists, “There’s no evidence that vaccines cause autism.”

@VigilantFox - The Vigilant Fox 🦊

Isn’t it strange how it’s widely accepted that vaccines can cause reactions—just as long as they’re mild? We are told to expect things like a sore arm, body aches, or a low-grade fever. And on rare occasions, someone may suffer an allergic reaction. midwesterndoctor.com/p/how-do-vacci…

@VigilantFox - The Vigilant Fox 🦊

But thanks to an obscene amount of social engineering, the conversation ends there. Anything beyond that is considered so rare, it probably doesn’t happen at all. But that’s not true. Millions of people know that’s not true. And millions more are finally starting to talk about it.

@VigilantFox - The Vigilant Fox 🦊

It is almost certain that vaccines are causing a hidden epidemic of unknown proportions. Severe reactions—like regressive autism—are just the tip of the iceberg. Milder reactions are being ignored, mislabeled, and swept under the rug.

@VigilantFox - The Vigilant Fox 🦊

In this thread, we’re going to focus on what can’t be dismissed as we unpack @MidwesternDoc’s article on the link between vaccines and autism. midwesterndoctor.com/p/how-do-vacci…

@VigilantFox - The Vigilant Fox 🦊

We owe it to everyone suffering from autism, every family confronted with this life changing diagnosis, and every unborn child at risk of developing autism to get to the root cause of this unprecedented epidemic. Right now, there is no explanation for the explosion in autism rates. None.

@VigilantFox - The Vigilant Fox 🦊

@MidwesternDoc The autism epidemic is one of the costliest diseases the U.S. has ever faced. This isn’t normal. This isn’t something we’re supposed to just… accept. The train is barreling down the track, and shockingly few people seem concerned enough to find a way to stop it.

@VigilantFox - The Vigilant Fox 🦊

Contrary to popular belief, a staggering number of peer-reviewed studies have shown a correlation between vaccines and autism. And the available anecdotal evidence—real stories from real people—is mind-boggling. It’s time to listen… No more Big Pharma talking points. No more costly PR campaigns. We’re talking about real people and real harm.

@VigilantFox - The Vigilant Fox 🦊

@MidwesternDoc Did you know that MMR vaccine uptake plummeted in the late 1990s—right after Dr. Andrew Wakefield’s controversial study? In countries like the UK and Norway, coverage actually fell below 90%. And guess what happened next? Autism rates declined, too.

@VigilantFox - The Vigilant Fox 🦊

@MidwesternDoc Seriously. And when vaccine uptake climbed back up again? So did the rates of autism. They’ll call that coincidence. But as @MidwesternDoc points out, the data says otherwise. https://www.midwesterndoctor.com/p/how-do-vaccines-cause-autism

How Do Vaccines Cause Autism? Past discoveries that can help us understand the current wave of neurological spike protein injuries. midwesterndoctor.com

@VigilantFox - The Vigilant Fox 🦊

@MidwesternDoc And did you know that regressive autism—when a child is developing normally and then loses skills like talking and making eye contact—always happens after vaccination? Never before. I mean… that right there just speaks for itself.

@VigilantFox - The Vigilant Fox 🦊

@MidwesternDoc It has been shown that vaccines can cause autism in multiple ways. The three mechanisms of harm include: 1. Chronic brain inflammation 2. Cell Danger Response 3. Zeta potential collapse Let’s break them down👇

@VigilantFox - The Vigilant Fox 🦊

Mechanism 1 — Vaccines can cause chronic brain inflammation. Brain inflammation and enlarged brains have been repeatedly linked to autism. And this brain inflammation happens at a critical period of brain development. Scientists have found that in children with autism: • Scientists have found that in children with autism: • Inflammatory chemicals like IL-1β, IL-6, and IL-8 are elevated • Their brains are often enlarged—a sign of swelling • Their blood-brain barrier and gut barrier are leaky • And aluminum—a known neurotoxin—is often found at sky-high levels inside their brains One study even found aluminum levels in autistic brain tissue that were higher than almost any human brain tissue ever recorded.

@VigilantFox - The Vigilant Fox 🦊

So, how did it get there? Aluminum is used as an adjuvant in many vaccines to provoke a stronger immune response. But once injected, it doesn’t just stay at the injection site. Macrophages absorb it, can’t break it down, and eventually deposit it into the brain and other organs—where it can linger for years.

@VigilantFox - The Vigilant Fox 🦊

But aluminum isn’t the only concern. The vaccine measles virus appears to do something similar in children with autism. Did you know that MMR vaccines with the measles component have caused severe brain injuries? And even death? Meanwhile, versions with only the mumps and rubella component have not. Wow. Just, wow. Shouldn’t that be enough to pull them from the market?!

@VigilantFox - The Vigilant Fox 🦊

Mechanism 2 — Cell Danger Response (or CDR) When a cell senses danger—like a toxin, infection, or spike protein—it shuts down normal function to defend itself. This is a completely normal process. But sometimes, the body gets stuck in defense mode. And when that happens, cells can’t heal, can’t communicate, and can’t function normally. This can lead to all sorts of long-term dysfunction. But what do you think that does to a young, developing body? Autism. And doctors who treat CDR directly are seeing remarkable improvements in their patients.

@VigilantFox - The Vigilant Fox 🦊

Mechanism 3 — Zeta Potential Collapse Your body’s fluids are delicate electrical systems. They rely on a negative charge—called zeta potential—to keep everything flowing. Vaccines (especially aluminum-containing ones) can disrupt this, causing blood to clump, stagnate, and stop circulating in small vessels—like the ones in the brain. This can lead to microscopic strokes that go undetected but cause damage. Sometimes even long-term damage. Canadian neurologist Dr. Andrew Moulden documented signs of microstrokes in vaccinated children—many of whom developed autism, seizures, or worse. He believed this was a universal mechanism behind many vaccine injuries—one we’re only just now beginning to understand.

@VigilantFox - The Vigilant Fox 🦊

Here’s what the media, Big Pharma, and the autism industry—yes, industry—doesn’t want you to know: • The autism epidemic didn’t come out of nowhere. • It matches patterns of aluminum exposure, immune activation, and over-vaccination. • And it shares mechanisms with the spike protein injuries we’re seeing following the COVID-19 vaccine rollout.

@VigilantFox - The Vigilant Fox 🦊

@MidwesternDoc Shockingly, the very treatments that help autistic children—like dietary changes, detox protocols, candida treatments, and cellular restoration—aren’t just dismissed by the medical establishment. They’re actively attacked and viciously demonized. midwesterndoctor.com/p/how-do-vacci…

@VigilantFox - The Vigilant Fox 🦊

@MidwesternDoc And the parents who seek out these treatments? They’re ridiculed and shunned. Imagine being attacked and laughed at for trying to help your nonverbal child talk again.

@VigilantFox - The Vigilant Fox 🦊

@MidwesternDoc But this goes far, far beyond autism. The same immune-activating, brain-disrupting mechanisms behind vaccine injury are now being seen in Alzheimer’s, autoimmune diseases, and even sudden cognitive decline in vaccinated elderly adults. midwesterndoctor.com/p/how-do-vacci…

@VigilantFox - The Vigilant Fox 🦊

@MidwesternDoc In the Netherlands, doctor visits for memory loss and brain fog jumped 24% after the COVID vaccine rollout. How many more “coincidences” do we need?

@VigilantFox - The Vigilant Fox 🦊

@MidwesternDoc Autism is the canary in the coal mine. The canary that’s been screaming at us for years. And it’s not just a warning about what vaccines are doing to children. It’s a warning about what’s happening to all of us.

@VigilantFox - The Vigilant Fox 🦊

@MidwesternDoc If we don’t expose this now, the damage will continue—generation after generation. It’s time to connect the dots. It’s time to ask the hard questions. It’s time to protect our children.

@VigilantFox - The Vigilant Fox 🦊

@MidwesternDoc With the rising rates of autism in the U.S. and new vaccines on the horizon, this is something everyone needs to see. Autism is just the canary in the coal mine. We're all at risk of harm. Forward this to anyone you think is ready to hear the truth.

@VigilantFox - The Vigilant Fox 🦊

The Shocking Mechanism Behind Vaccine-Induced Autism Scientists have found aluminum in the brains of children with autism—at levels HIGHER than almost any human brain tissue ever recorded. Aluminum is a known neurotoxin. It’s not supposed to be in the brain at all—especially not during early development, when the brain is most vulnerable. We know aluminum is used in many vaccines to amplify immune response—but where does that aluminum actually end up? @MidwesternDoc investigated. And what this medical researcher uncovered could change everything you thought you knew about vaccines. 🧵 THREAD

@VigilantFox - The Vigilant Fox 🦊

@MidwesternDoc Thanks for reading! This information was based on a report originally published by @MidwesternDoc. Key details were streamlined and editorialized for clarity and impact. Read the original report here. https://www.midwesterndoctor.com/p/how-do-vaccines-cause-autism

How Do Vaccines Cause Autism? Past discoveries that can help us understand the current wave of neurological spike protein injuries. midwesterndoctor.com

@VigilantFox - The Vigilant Fox 🦊

@MidwesternDoc For a deeper dive into what modern medicine has overlooked—or intentionally buried—check out these other eye-opening reports by @MidwesternDoc: The Forgotten Cancer Cure Hiding in Plain Sight https://www.midwesterndoctor.com/p/the-forgotten-cancer-cure-hiding

The Forgotten Cancer Cure Hiding in Plain Sight How DMSO turns a common dye into a highly potent cancer treatment that's harmless to normal tissue midwesterndoctor.com

@VigilantFox - The Vigilant Fox 🦊

@MidwesternDoc Where Are the Former FDA Commissioners Now? https://www.midwesterndoctor.com/p/the-fdas-war-on-americas-health

The FDA's War On America's Health Why do so many innovative therapies never see the light of day midwesterndoctor.com

@VigilantFox - The Vigilant Fox 🦊

@MidwesternDoc What’s The Healthiest Water To Drink? https://www.midwesterndoctor.com/p/whats-the-healthiest-water-to-drink

What's The Healthiest Water To Drink? April's Open Thread midwesterndoctor.com

@VigilantFox - The Vigilant Fox 🦊

@MidwesternDoc While you’re at it, give @MidwesternDoc a follow. No one brings more research, clinical insight, or historical context when it comes to exposing the health myths we’ve all been fed. This is easily one of the most valuable accounts you’ll ever follow. --> @MidwesternDoc https://t.co/aRjPo06jqJ

Saved - August 7, 2025 at 10:37 AM
reSee.it AI Summary
The discussion highlights concerns about the impact of mRNA vaccines, claiming tens of millions dead and many more injured, affecting various bodily systems. One participant cites over 17 million vaccine-related deaths globally, with U.S. estimates around 600,000.

@NicHulscher - Nicolas Hulscher, MPH

The mRNA Catastrophe: Death and Injury on the Scale of Hundreds of Nuclear Strikes Tens of millions dead. Millions more injured and disabled. Heart, brain, blood, immune system, kidneys, gut, fertility, and DNA — all under attack.

Video Transcript AI Summary
The speaker claims mRNA injections have caused a "catastrophic" level of damage, citing excess deaths, permanent disabilities, and injuries. Worldwide deaths are estimated at around 17 million as of September 2023. In America, estimations for the first year of mRNA injection deaths range between 480,000 and 600,000, based on extrapolations from a recent preprint and VAERS data. The speaker asserts the shots are cardiotoxic and neurotoxic, linking them to myocarditis, cardiac arrests, coronary artery disease, and 86 neuropsychiatric adverse events. Vaccine spike protein has allegedly been found in the brains of stroke patients 17 months post-vaccination. The speaker states the shots induce blood clotting and damage the kidneys and gastrointestinal system. Furthermore, the speaker believes the shots are carcinogenic, with over 100 studies indicating 17 distinct mechanisms by which they may cause cancer.
Full Transcript
Speaker 0: The extent of the damage from the mRNA injections, both direct and indirect, is literally catastrophic. Catastrophic. And let's I'll go through the few main categories of harm that it has caused among the population. Number one is obviously, as we all know now, is excess deaths. And like you just mentioned, Rancourt and colleagues, they did estimate around seventeen million deaths from the mRNA injections as of September 2023. That's worldwide. Here in America, we do have some estimations of the first year for mRNA injection deaths between four hundred and eighty thousand and six hundred thousand. One of those is based on an extrapolation of a recent preprint that just came out. Florida surgeon general Joel Adapo is a senior author Right. As well as VAERS extrapolations because we know there's about almost forty thousand deaths in VAERS linked to the COVID shots, and that's underreported by a conservative factor of around thirty one. It could be as high as a hundred, which would basically put us in the millions of deaths here in America alone. So we know this excess death situation is a major catastrophe, and it has surpassed levels casualty levels of world wars, including World War one, World War two, and the Vietnam War. Or you can also look at the civil War. That was around six hundred thousand American deaths. So this is very bad, but it's not just deaths. It's permanent disabilities. It's injuries. These shots we now know are cardiotoxic without a doubt. I hate it. Yep. Yep. You have myocarditis. You have cardiac arrests. You have coronary artery disease. We know it's disastrous for the brain. It's neurotoxic. It's now been linked to eighty six neuropsychiatric adverse events. In a study by Thorpe and colleagues using the VAERS system, mRNA and spike, vaccine spike protein, has been found in the brain of stroke patients seventeen months after vaccination. So it's damaging the brain, damaging the heart, and it's extraordinarily bad for the hematological system. So your blood, we know it induces blood clotting. That's why AstraZeneca's was probably pulled off market. They claimed it was pulled off because nobody was getting it, but it was linked to vaccine induced immune thrombotic thrombocytopenia, which is fatal. Same thing with Johnson and Johnson. That's that was removed pretty quickly. So it damages the entire system. We even now know that the kidneys damages the kidneys. Right? It damages the gastrointestinal system. There's thousands of studies now outlining all of this. It is it it has harmed so many things among population. It's unthinkable they're still being fully approved. Now one more thing is carcinogenicity. Right? Reshots, we now do definitely believe are carcinogenic. There's over a 100 studies now indicate that there's about 17 different ways, distinct mechanisms that these mRNA shots may cause cancer. So so many things, so many things. And, you know, we gotta start reversing this damage and healing the population from what has been inflicted upon them.

@disclosetv - Disclose.tv

NOW - Trump on Operation Warp Speed: "One of the most incredible things ever done in this country... Everything about it was has been amazing."

Video Transcript AI Summary
The speaker questions the former president about the current health secretary pulling funding for mRNA vaccine research, claiming the risks outweigh the benefits, putting him at odds with the medical community and the former president. The former president states they are going to look into it and are talking about it. He calls Operation Warp Speed one of the most incredible things ever done in the country. He says that was a long time ago, and they are onto other things. He states they are speaking about it and have meetings about it, including one tomorrow at 12:00, to determine next steps. He says they are looking for other answers to other problems, sicknesses, or diseases.
Full Transcript
Speaker 0: You were the driving force behind Operation Warp Speed, these mRNA vaccines that are the gold standard. Right. Now your health secretary is pulling back all the funding for research. He's saying that the risks outweigh the benefits, which puts him at odds with Speaker 1: the entire Speaker 0: medical community and with you. What is going Speaker 1: Research on what? Speaker 0: Into mRNA vaccines. Speaker 1: Well, we're gonna look at that. We're talking about it, and they're doing a very good job. And, you know, that is a pass. With Operation Warp Speed was, whether you're Republican or Democrat, considered one of the most incredible things ever done in this country. The efficiency, the the way it was done, the distribution, everything about it was has been amazing. But, you know, that was, now a long time ago, and we're on to other things. But we are speaking about it. We have meetings about it in tomorrow, actually, tomorrow at 12:00, and we'll determine. We're looking for other answers to other problems, to other sicknesses or diseases, and I think we're doing really well. Yes, ma'am. Speaker 0: Like you, mister president.

@NicHulscher - Nicolas Hulscher, MPH

>17 million COVID-19 "vaccine" deaths worldwide, with conservative U.S. estimates at approximately 600,000 deaths. https://www.thefocalpoints.com/p/the-covid-shot-catastrophe

The COVID Shot Catastrophe Epidemiologist Nicolas Hulscher on Children’s Health Defense TV with Dr. Brian Hooker thefocalpoints.com
Saved - August 18, 2025 at 10:54 AM
reSee.it AI Summary
I reflect on the complexities of ME/CFS, noting that millions have sacrificed their cognition due to the effects of the Spike protein from both SARS-CoV-2 infections and vaccines. The persistence of Spike leads to serious health issues, including cognitive impairments akin to those seen in HIV-related conditions. Studies indicate a significant overlap between cognitive symptoms in COVID-19 and HIV-associated neurocognitive disorders. As we explore treatment options, understanding the long-term implications of Spike and its cumulative effects remains crucial for both adults and children.

@dbdugger - Daniel Brittain Dugger

We must accept "Solving ME/CFS" required sacrificing the cognition of millions, including those robbed of their cognition and autonomy after allowing conversion from Asymptomatic Neurocognitive Impairment.

@AnneliseBocquet - Bocquet Annelise 🔬🧬📚🚜

5 points fondamentaux que vous devez savoir sur la Spike du SARS-CoV-2 (🦠 et 💉) De retour après plusieurs jours de pause... et ça fait du bien ! Je lance ce thread en 5 points. 1. La Spike est produite aussi bien lors d'une infection par le SARS-CoV-2 que par les injections anti-covid. Si on a des données solides pour les covid-longs, on en a beaucoup moins pour les PVS (Syndromes Post-Vaccination). Les études sont disparates et il n'y a aucune étude comparative. Du moins, pas à ma connaissance. Ce que je sais, c'est que la Spike est potentiellement la responsable de ces PVS. Les injections anti-covid font produire de la Spike... mais en quelle quantité ? Et quid de la biodistribution - autrement dit, on n'a toujours aucune idée de la production de Spike dans les tissus. 2. La Spike enclenche divers problèmes : les Spikeopathies. De fait toxique, elle persiste dans les organismes pendant des mois... voir des ANNÉES. Et il y a donc un effet cumulatif. Du fait de sa persistance, la Spike des injections anti-covid vient se rajouter à la Spike des infections covid... créant un vrai problème de dose cumulative. Et une synergie "virus + injections anti-covid". Car oui, les injections anti-covid ne protègent pas, ni des infections ni des formes graves. Mais rajoutent de la Spike sur de la Spike. 3. La Spike est dégénérative. Elle est amyloides, amyloidogène et peut utiliser les fibres amyloides pour permettre au virus de coloniser l'organisme. On aura des pathologies comme Alzheimer, Parkinson, des démences et diverses des amyloses comme les fibrinaloides... (Creutzfeld Jakob) (Amyloses) 4. La Spike est toxique pour le système immunitaire. - du fait de sa persistance, elle peut épuiser les lymphocytes T. Là aussi, l'épuisement des lymphocytes T est un marqueur aussi bien des covid-longs que des PVS. Mais, du coup, qui dit "système immunitaire épuisé" dit "système immunitaire hors-service". C'est devenu une passoire pour les pathogènes... surtout le SARS-CoV-2. 5. La Spike entraîne des perturbations métaboliques... C'est en lien avec ses propriétés cancérigènes mais aussi, son impact sur l'ensemble de l'organisme. Fatigue chronique et perte du tonus musculaire sont deux grandes caractéristiques. Être spiké, c'est passer dans une essoreuse... avec des impacts de fond. Beaucoup de questions sont encore en suspens... comme les effets épigénétiques, les impacts sur les futures générations et la fertilité. Mais ces 5 points là sont déjà beaucoup d'arguments à opposer aux injections anti-covid et à demander aux soignants de... nous soigner. Le potentiel bacteriophage du SARS-CoV-2 est un argument clé en faveur des antibiotiques. Limiter la propagation du virus dans l'organisme et donc la production de Spike est important ! Fondamental au regard de la persistance de la protéine Spike et des Spikeopathies, des propriétés amyloides (et donc dégénératives), immunotoxiques et des impacts métaboliques. Cela vaut pour les adultes mais aussi les enfants. Merci beaucoup de m'avoir lue. 💯💯💯

@ejustin46 - Emmanuel

How many spike proteins are in our body during each SARS-CoV-2 infection, and how many stay in our organs after three infections? 500,000,000,000 spike proteins ? I haven't found a clear answer in the nearly 10,000 studies that I shared on X/Twitter since the pandemic began.

@AnneliseBocquet - Bocquet Annelise 🔬🧬📚🚜

Bien... un nouveau preprint. https://www.medrxiv.org/content/10.1101/2025.02.18.25322379v1 Voilà ce qu'en tant qu'immuno, je retiens... 1. Quelques définitions : 1.a. Post-Vaccination Syndrome (PVS) ou Syndrome Post-Vaccination (en français) : PVS fait référence à un ensemble de symptômes chroniques (fatigue,

Immunological and Antigenic Signatures Associated with Chronic Illnesses after COVID-19 Vaccination medRxiv - The Preprint Server for Health Sciences medrxiv.org

@AnneliseBocquet - Bocquet Annelise 🔬🧬📚🚜

Bon ben... ça y est... c'est publié ! La protéine Spike du SARS-CoV-2 s'accumule et persiste dans l'organisme pendant... DES ANNÉES ! Avec, notamment une accumulation dans le cerveau, les méninges et le crâne... C'est ce thread là qui vient d'être validé peer-reviewed ⤵️

@AnneliseBocquet - Bocquet Annelise 🔬🧬📚🚜

Bien... petite réaction à chaud sur cette publication de Nakao Ora et al. 2025. Persistance de la Spike dans les syndromes post-vaccinaux (PVS) Persistance de la Spike après infection par le SARS-CoV-2 et persistance du virus.

Video Transcript AI Summary
Cette vidéo résume: selon Nakaoota et al. (3 avril 2025), « l’expression de la protéine Spike chez 43.8 pour 100 des personnes vaccinées anti Covid » persiste « au niveau des artères coronaires » jusqu’à 17 mois après l’injection, avec « l’ARN messager, du vaccin, mais également du virus » détecté. Il y a « persistance de la protéine Spike » et « persistance du SARS-CoV-2 » possiblement malgré les traitements précoces. L’auteure mentionne aussi « Crüssfeld Jacob, 14 mois après infection » et une étude sur des « AVC 17 mois après injections ». L’interaction de la nucléocapside (protéine N) avec TRIM28 pourrait retarder la réponse immunitaire innée, renforçant la tolérance immunitaire via TLR2/RAGE et IgG4. Conséquences: infection potentiellement asymptomatique et dégâts cumulatifs; Spike persistante pourrait entraîner « spike viral plus spike vaccinal ». Des spycopathies neurologiques sont évoquées; dépistage de Spike et traque du virus recommandés; traitements personnalisés et soutien par curcumine, quercétine, vitamine D; approche individuelle. This video summarizes: according to Nakaoota et al. (April 3, 2025), « the expression of the spike protein in 43.8 per 100 of vaccinated people » persists « at the level of the coronary arteries » for up to 17 months after injection, with « mRNA from the vaccine, but also the virus » detected. There is « persistence of the Spike protein » and « persistence of SARS-CoV-2 » possibly despite early treatments. The author also cites « Crüssfeld Jacob, 14 months after infection » and a study on « strokes 17 months after injections ». The interaction of the nucleocapsid protein (N) with TRIM28 could delay the innate antiviral response, reinforcing immune tolerance via TLR2/RAGE and IgG4. Consequences: potentially asymptomatic infection and cumulative damage; persistent Spike could lead to « spike viral plus spike vaccinal ». Neurological spycopathies are discussed; diagnostics to detect Spike and tracking the virus are recommended; therapies to block/remove Spike and personalized approaches, with supports like curcumin, quercetin, vitamin D.
Full Transcript
Speaker 0: Bonjour à tous et à tous. Je suis Annelies Bocket, je suis docteure en biologie santé et spécialisée en immunologie, et je n'ai absolument aucun conflit d'intérêt, que ce soit d'ordre privé, personnel, financier, peu importe. Je n'ai pas de conflit d'intérêt. Je me permets de faire cette petite vidéo suite à la parution d'un nouvel article de Nakaoota et al en date du 3 avril 2025 qui démontre l'expression de la protéine Spike chez 43.8 pour 100 des personnes vaccinées anti Covid avec une persistance de cette protéine Spike au niveau des artères coronaires et ce jusqu'à 17 mois après l'injection. On a également détecté de l'ARN messager, du vaccin, mais également du virus au niveau donc de ces artères coronaires. Donc il y a bien une persistance de la protéine Spike. Je ne reviendrai pas sur l'étude de Yel Lissen qui a démontré la persistance de cette protéine Spike plus de 700 jours après les injections anti Covid. Mais il y a aussi une persistance du SARS-CoV 2. Et ceci peut-être en dépit des traitements précoces. J'expliquerai juste après pourquoi. Il y a une persistance de la spi vaccinale, donc comme je viens de vous le décrire, mais également possiblement de l'ARN messager modifié avec une production donc de cette spike des mois après les injections anti covid. Aujourd'hui, a quand même quelques publications assez alarmantes. Dès Crüssfeld Jacob, 14 mois après infection par le SARS-CoV 2. Là, ici, sur ce nouvel, sur cette nouvelle publication des AVC, 17 mois après potentiellement injections plus infections. Et donc je vais vous expliquer pourquoi le SARS-CoV 2 persiste et quelles sont mes dernières recherches. Il faut savoir que la protéine mucocapside du SARS-CoV-2, donc la protéine N du SARS-CoV-2 interagit avec TRIM vingt-huit. C'est quoi TRIM vingt-huit C'est un facteur impliqué dans une grande variété de processus cellulaires comme le matière des cellules souches, la réparation de l'ADN, l'apoptose, l'autophagie, et j'en passe. La perte de Trim 28 lors du développement de l'embryon chez la souris est l'étale. Et Trim 28 peut être impliqué dans de nombreux cancers, globalement. Le problème, c'est que TRIM 28 est aussi impliqué dans l'homéostasie du système immunitaire et dans son activation. Donc, si TRIM 28 est impactée, alors la réponse immunitaire innée en réponse à l'infection par le SARS -CoV 2 est aussi impliquée. Notamment, il va y avoir un délai, un retard dans le lancement de la réponse immunitaire antivirale. Il se peut alors que la réponse immunitaire lors d'une infection par le SARS-CoV 2 soit retardée, et cela va avec les mécanismes de tolérance immunitaire que j'ai précédemment décrits, énormément décrits, notamment avec l'activation du TLR 2 via le système Rage, les cellules myéloïdes, inhibitrices, l'expression de certains HLA inhibiteurs, enfin bref, plus sans compter les propriétés allergènes qui entraînent potentiellement des IgG4. Donc les IgG4 étant un marqueur également de cette de cette tolérance immunitaire. Bref, donc cette interaction de la nucléocapside avec TRIM 28 vient renforcer finalement les actions de la protéine Spike, et donc inhibent complètement la réponse immunitaire innée antivirale, ce qui fait, c'est qu'elle est retardée dans le temps. Qu'est-ce que ça signifie concrètement Il est fort probable qu'il existe une phase, une première phase lors de la contamination virale, qui soit silencieuse, asymptomatique. Puisqu'en fait, les symptômes, ce n'est, ce ne sont que la manifestation d'une activation du système immunitaire. Donc vous comprenez bien que si vous n'avez pas de symptômes, c'est que votre système immunitaire n'est pas activé correctement, et donc votre infection par le SARS-CoV 2 passe dans les premiers temps complètement inaperçue. Autrement dit aussi, nous avons soigné trop tard. Non seulement on n'a soigné que l'hyper inflammation, ne tenant compte que de l'hyper inflammation, sans tenir compte de la tolérance immunitaire, mais également nous avons soigné probablement avec un délai dans le temps. Donc du fait de cette phase asymptomatique, de cette phase retardée. Donc ce qui aurait permis d'ailleurs au virus de s'installer dans l'organisme tranquillou pépère, avant même l'enclenchement des des symptômes, et la mise en place des traitements précoces, dits précoces. Il faut savoir que d'autres virus latent, sont capables d'interagir avec TRIM vingt-huit, pardon. Il y a le b v, le cytomégalovirus, le papillomavirus, l'hépatite b ou encore le vih, le virus responsable du sida. Alors non seulement on a peut-être soigné avec un retard considérable, mais les injections anti Covid ont certainement rajouté une couche supplémentaire, notamment par la surexpression de certains récepteurs qui ont ouvert les portes de l'organisme au virus. En effet, en plus, si la spike virale persiste, le fait de faire produire de la spike par les cellules de l'organisme après l'administration des produits anti Covid, aura probablement eu comme conséquence un effet cumulatif spike viral plus spike vaccinal. De fait, il est rapporté dans la littérature scientifique que les injections, que les infections par le SARS-CoV-2 entraînent des dégâts cumulatifs, et ce, peu importe le statut vaccinal. Je répète, peu importe le statut vaccinal, que vous soyez vacciné ou non vacciné, ça ne change rien. Des infections répétées par le SARS-CoV 2 entraînent des dégâts cumulatifs. Et je pense que nous sommes encore loin du compte en ce qui concerne les dégâts occasionnés par la protéine Spike. Et ce d'autant plus qu'il s'agit d'une arme silencieuse. Elle va, comme je l'ai dit, désactiver le système immunitaire et ça va passer crème. Vous ne sentirez rien jusqu'au point de rupture. Ça veut bien dire qu'on peut déclencher des spycopathies, c'est-à-dire des maladies relatives à la persistance et à la présence de la protéine spike dans l'organisme, qu'elle soit d'origine virale ou vaccinale, dans le temps. Avec un délai, avec un certain retard. L'une des grandes catégories de spycopathies que l'on redoute et qu'on peut redouter énormément, ce sont les atteintes neurologiques. Comme la spike, elle est amyloïde et amyloïdogène. Elle est capable de former en elle-même des fibres hydrogels dégénératives, mais également de faire produire des fibres dégénératives par les cellules de l'organisme, des fibres comme celles qui sont impliquées dans la pathologie d'Alzheimer, de Parkinson, ou même la fibrillation de la protéine prions humaine. Et en plus, on va mettre la cerise sur la tarte au quetch, le virus, grâce à sa spike, peut utiliser ses fibres amyloïdes pour envahir l'organisme potentiellement. Je ne vais pas parler des propriétés allergènes qui peuvent avoir des conséquences comme des syndromes d'activation mastocytaire, Et ça, pas dans le temps, puisqu'elles persistent dans le temps. Donc ça fera comme des mastocytose-like en permanence. Donc comment soigner les spycopathies On a quelques pistes pour soutenir l'organisme, comme la curcumine, l'aspirine. Attention l'aspirine pas pour tout le monde, c'est un inhibiteur de l'activation des plaquettes. Donc si vous êtes sous anticoagulants ou si vous avez d'autres contre indications, ne prenez pas de l'aspirine. La quercétine ou la vitamine D, tout en gardant en tête quand même qu'il ne s'agit que de pansements. Mais c'est mieux que rien. La vitamine D est d'autant plus importante qu'elle peut renforcer la barrière hémato-encéphalique qui est largement attaquée par la protéine spike et le virus. Le fait de retrouver de la spike au niveau des artères cérébrales, ça ne sent pas très bon. Donc cette barrière hématoencéphalique normalement protège notre cerveau et donc elle est un, elle est attaquée, elle est perméabilisée, ce qui ouvre la voie en fait à un virus qui est neurotrope, qui adore le cerveau et qui est ami, avec une protéine Spike qui est amyloïde. Il n'y a pas que la protéine Spike qui est amyloïde, d'accord La protéine N aussi qui est amyloïde. Il y en a d'autres. Mais il nous est aujourd'hui essentiel, en fait, de trouver des outils de diagnostic pour aller chercher, pour aller traquer les spikopathies, notamment des outils de dépistage et de dosage de la protéine Spike, et de développer des thérapies pour bloquer le virus ou éliminer cette protéine Spike, attention, sans enclencher les catastrophes annexes. Il faut aussi traquer le virus, notamment dans les réservoirs, et aller chercher les dégâts tissulaires. On ne soigne pas des dégâts tissulaires comme on soigne une protéine persistante, comme on soigne un virus persistant. Et bien entendu, ces traitements se feront en fonction de votre cas. Chaque individu est différent. Il va donc falloir analyser chez vous ce qui se passe pour aller mieux vous soigner. Voilà. Sur ce, je vous laisse et je vous souhaite une bonne journée, je mettrai les références soit en haut du de la vidéo ou en bas de la vidéo en fonction de comment ça s'agence sur x. Je vous souhaite une bonne journée, au revoir.

@AnneliseBocquet - Bocquet Annelise 🔬🧬📚🚜

Spike, Creutzfeld Jakob et Alzheimer... https://www.news-medical.net/news/20230905/SARS-CoV-2-spike-protein-could-be-speeding-up-Alzheimers-and-other-brain-diseases-says-new-study.aspx Preprint : https://www.biorxiv.org/content/10.1101/2023.09.01.555834v1 Des chercheurs ont évalué les capacités de la protéine Spike du SARS-CoV-2 à induire la fibrillation de la protéine prion PrP ou huPrP (human prion) et des fibres Aβ42. Cette

SARS-CoV-2 spike protein could be speeding up Alzheimer's and other brain diseases, says new study Swedish researchers find that SARS-CoV-2's spike protein amyloids can accelerate the formation of harmful protein aggregates related to neurodegenerative diseases like Creutzfeldt-Jakob and Alzheimer's. The study suggests a potential link between COVID-19 and increased cases of these brain disorders. news-medical.net
SARS-CoV-2 Spike amyloid fibrils specifically and selectively accelerates amyloid fibril formation of human prion protein and the amyloid β peptide bioRxiv - the preprint server for biology, operated by Cold Spring Harbor Laboratory, a research and educational institution biorxiv.org

@AnneliseBocquet - Bocquet Annelise 🔬🧬📚🚜

Thread à lire 🧵! "Le Dr Jordan Vaughn, médecin basé en Alabama, a ensuite fourni une estimation effrayante : jusqu'à 15 millions d'Américains pourraient souffrir de blessures liées à la COVID longue ou au vaccin contre la COVID. Il traite désormais des adolescents qui ne

@AnneliseBocquet - Bocquet Annelise 🔬🧬📚🚜

En parlant d'Alzheimer... Vous saviez que le SARS-CoV-2, le virus qui induit la Covid19, peut promouvoir ou enclencher des pathologies neurodégénératives comme... Alzheimer mais aussi Parkinson ? https://www.ncbi.nlm.nih.gov/pmc/articles/PMC10050697/ https://pubmed.ncbi.nlm.nih.gov/38259635/ https://pubmed.ncbi.nlm.nih.gov/36314211/

The viral hypothesis in Alzheimer’s disease: SARS-CoV-2 on the cusp Increasing evidence highlights that infection with severe acute respiratory syndrome coronavirus 2 (SARS-CoV-2) has long-term effects on cognitive function, which may cause neurodegenerative diseases like Alzheimer’s disease (AD) in the future. We ... pmc.ncbi.nlm.nih.gov
Unravelling the connection between COVID-19 and Alzheimer's disease: a comprehensive review - PubMed Currently, there exists a limited comprehension regarding the correlation between COVID-19 and Alzheimer's disease (AD). To elucidate the interrelationship and its impact on outcomes, a comprehensive investigation was carried out utilising time-unrestricted searches of reputable databases such as Sc … pubmed.ncbi.nlm.nih.gov
COVID-19 as a Risk Factor for Alzheimer's Disease - PubMed Severe acute respiratory disease coronavirus 2 (SARS-CoV-2) is responsible for the coronavirus disease 2019 (COVID-19) pandemic. Although a primarily respiratory disease, recent reports indicate that it also affects the central nervous system (CNS). Over 25% of COVID-19 patients report neurological … pubmed.ncbi.nlm.nih.gov

@AnneliseBocquet - Bocquet Annelise 🔬🧬📚🚜

Comment vous dire que ça pue, niveau immuno ? Les injections anti-covid perdent de leur efficacité au niveau des lymphocytes T? Sans blague... impact d'une exposition répétée à un même antigène ! https://onlinelibrary.wiley.com/doi/10.1002/jmv.29790?af=R La 3e dose (3D) a augmenté le pourcentage de résidents

@AnneliseBocquet - Bocquet Annelise 🔬🧬📚🚜

Hé... 2025 : PVS - épuisement des lymphocytes, hein... rien que ça ! Comme quoi...

@AnneliseBocquet - Bocquet Annelise 🔬🧬📚🚜

2/2 3. Similitudes entre PVS et Covid-long : a. Les symptômes cliniques : Les deux conditions partagent des phénotypes cliniques similaires, comme la fatigue chronique, la dysautonomie, et les troubles cognitifs, souvent attribués à l’épuisement immunitaire. b. L'épuisement

@AnneliseBocquet - Bocquet Annelise 🔬🧬📚🚜

Coenzyme Q10 pour soigner les covid-longs ? https://www.ncbi.nlm.nih.gov/pmc/articles/PMC10779395/ Les mitochondries jouent un rôle important dans la réponse aux infections virales. Elles sont, en effet, impliquées dans la production de radicaux oxygénés et de l'initiation de la réponse immunitaire via les

Mitochondrial Dysfunction and Coenzyme Q10 Supplementation in Post-Viral Fatigue Syndrome: An Overview Post-viral fatigue syndrome (PVFS) encompasses a wide range of complex neuroimmune disorders of unknown causes characterised by disabling post-exertional fatigue, myalgia and joint pain, cognitive impairments, unrefreshing sleep, autonomic ... pmc.ncbi.nlm.nih.gov

@AnneliseBocquet - Bocquet Annelise 🔬🧬📚🚜

Dans la série des "bonnes nouvelles" : la Spike du SARS-CoV-2 est génotoxique... semble-t-il. - Par des mécanismes indirects comme le stress oxydatif ou son impact sur les mitochondries... - Par des mécanismes directs en interférant avec des mécanismes de réparations et de

@AnneliseBocquet - Bocquet Annelise 🔬🧬📚🚜

Spike, p53 et mitochondries... Allez, je vais essayer de vulgariser. 1. Interaction Spike/p53 et immunité : La Spike pourrait interagir avec p53, qui est un régulateur clé de l’immunité innée et adaptative, notamment via la production d’interférons (IFN) de type I et de gènes

@AnneliseBocquet - Bocquet Annelise 🔬🧬📚🚜

"Preuves du potentiel bacteriophage du SARS-CoV-2 dans le microbiote intestinal humain" Petrillo et al., 23 avril 2025. https://pubmed.ncbi.nlm.nih.gov/40444030/ Le virus responsable de la COVID-19, le SARS-CoV-2, fut détecté dans des cultures de bactéries, à l'extérieur et à l'intérieur des

Evidence of SARS-CoV-2 bacteriophage potential in human gut microbiota - PubMed Based on these results we conclude that, in addition to its well-documented interactions with eukaryotic cells, SARS-CoV-2 may act as a bacteriophage when interacting with at least two bacterial species known to be present in the human microbiota. If the hypothesis proposed, i.e., that under certain … pubmed.ncbi.nlm.nih.gov

@dbdugger - Daniel Brittain Dugger

It was three years ago that I was sitting at my desk when I received a phone call from a client who believed there was an issue with my software as he was unable to locate information on a spreadsheet. It was there but he was suffering from "brain fog."

@dbdugger - Daniel Brittain Dugger

This article, published the same year, was among the first returned in the search results. Cerebrospinal Fluid Offers Clues to Post-COVID ‘Brain Fog’ https://www.ucsf.edu/news/2022/01/422156/cerebrospinal-fluid-offers-clues-post-covid-brain-fog

@dbdugger - Daniel Brittain Dugger

"All participants underwent an in-person cognitive testing battery with a neuropsychologist, applying equivalent criteria used for HIV-associated neurocognitive disorder (HAND)."

@dbdugger - Daniel Brittain Dugger

"Surprisingly, the researchers found that 13 of the 22 participants (59 percent) with cognitive symptoms met HAND criteria, compared with seven of the 10 control participants (70 percent)."

@dbdugger - Daniel Brittain Dugger

Observing cognitive impairment equal in magnitude to that of HIV Associated Neurocognitive Decline confirms the hypothesis advanced by Kenneth Podell on September 29th, 2020. Multiple Neuroinvasive Pathways in COVID-19 https://pubmed.ncbi.nlm.nih.gov/32990925/

Multiple Neuroinvasive Pathways in COVID-19 - PubMed COVID-19 is a highly infectious viral disease caused by the novel coronavirus SARS-CoV-2. While it was initially regarded as a strictly respiratory illness, the impact of COVID-19 on multiple organs is increasingly recognized. The brain is among the targets of COVID-19, and it can be impacted in mul … pubmed.ncbi.nlm.nih.gov

@dbdugger - Daniel Brittain Dugger

"One can draw on the experience with an HIV/AIDS epidemic. The initial understanding of HIV/AIDS was that of the virus affecting the immune system by depleting T cells, which resulted in opportunistic infections of multiple organs, including the brain."

@dbdugger - Daniel Brittain Dugger

"However, it did not take long to discover that the disease could also attack the brain directly, which resulted in long-term cognitive impairment."

@dbdugger - Daniel Brittain Dugger

"Subsequently, HIV encephalopathy and AIDS dementia complex leading to long-term cognitive impairment were discovered [87]. Based on the emerging literature, it is reasonable to hypothesize a somewhat similar scenario may unfold in relationship to COVID-19."

@dbdugger - Daniel Brittain Dugger

The equivalent criteria is that of the Frascati Criteria which recognizes Asymptomatic Neurocognitive Impairment, Mild Neurocognitive Decline, and AIDS Dementia Complex.

@dbdugger - Daniel Brittain Dugger

HIV-associated neurocognitive disorder — pathogenesis and prospects for treatment https://pmc.ncbi.nlm.nih.gov/articles/PMC4937456/

HIV-associated neurocognitive disorder — pathogenesis and prospects for treatment In the past two decades, several advancements have improved the care of HIV-infected individuals. Most importantly, the development and deployment of combination antiretroviral therapy (CART) has resulted in a dramatic decline in the rate of deaths ... pmc.ncbi.nlm.nih.gov

@dbdugger - Daniel Brittain Dugger

Asymptomatic neurocognitive impairment (ANI) Impairment in ≥2 neurocognitive domains (≥1 SD) Does not interfere with daily functioning

@dbdugger - Daniel Brittain Dugger

Mild neurocognitive disorder (MND) Impairment in ≥2 neurocognitive domains (≥1 SD) Mild to moderate interference in daily functioning

@dbdugger - Daniel Brittain Dugger

HIV-associated dementia (HAD) Marked (≥2 SD) impairment in ≥2 neurocognitive domains Marked interference in daily functioning

@dbdugger - Daniel Brittain Dugger

Those now diagnosed with ME/CFS were among those living with ANI at a two-to-six times increase risk of conversion and did so in a way we have observed over the past forty years.

@dbdugger - Daniel Brittain Dugger

"Despite being asymptomatic, ANI is clinically relevant because individuals with ANI can transition to one of the more severe forms of HAND:"

@dbdugger - Daniel Brittain Dugger

"for example, participants of the CNS HIV Antiretroviral Therapy Effects Research (CHARTER) study who had ANI at baseline were two to six times more likely to develop symptomatic HAND during several years of follow-up than those who were neurocognitively normal at baseline."

@dbdugger - Daniel Brittain Dugger

Could You Have ME/CFS? (Myalgic Encephalomyelitis/Chronic Fatigue Syndrome) https://www.cdc.gov/me-cfs/pdfs/could-you-have-mecfs_508.pdf ME/CFS is a complex illness and symptoms of ME/CFS may seem similar to many other illnesses. ME/CFS requires three symptoms:

@dbdugger - Daniel Brittain Dugger

See? They are unable to complete their ADLs. 1. Not being able to participate in routine activities that were possible before becoming ill, such as work, school, social life, and/or personal life, that:

@dbdugger - Daniel Brittain Dugger

• Lasts for more than 6 months • Is accompanied by fatigue that is: • Often serious • Just started (not lifelong) • Not the result of ongoing activities • Not from more than usual effort • Not made better by rest

@dbdugger - Daniel Brittain Dugger

It was in December of 2021 that Dr. Daniel Chertow implicated the two most well known reservoirs in HIV, that of the Central Nervous System and Gut Associated Lymphoid Tissues.

@dbdugger - Daniel Brittain Dugger

SARS-CoV-2 infection and persistence throughout the human body and brain December 2021 https://www.researchgate.net/publication/357197928_SARS-CoV-2_infection_and_persistence_throughout_the_human_body_and_brain

@dbdugger - Daniel Brittain Dugger

The very same month, China published this paper demonstrating the efficacy of Azvudine. Published: 06 December 2021 Azvudine is a thymus-homing anti-SARS-CoV-2 drug effective in treating COVID-19 patients https://www.nature.com/articles/s41392-021-00835-6

Azvudine is a thymus-homing anti-SARS-CoV-2 drug effective in treating COVID-19 patients - Signal Transduction and Targeted Therapy Azvudine (FNC) is a nucleoside analog that inhibits HIV-1 RNA-dependent RNA polymerase (RdRp). Recently, we discovered FNC an agent against SARS-CoV-2, and have taken it into Phase III trial for COVID-19 patients. FNC monophosphate analog inhibited SARS-CoV-2 and HCoV-OC43 coronavirus with an EC50 between 1.2 and 4.3 μM, depending on viruses or cells, and selective index (SI) in 15–83 range. Oral administration of FNC in rats revealed a substantial thymus-homing feature, with FNC triphosphate (the active form) concentrated in the thymus and peripheral blood mononuclear cells (PBMC). Treating SARS-CoV-2 infected rhesus macaques with FNC (0.07 mg/kg, qd, orally) reduced viral load, recuperated the thymus, improved lymphocyte profiles, alleviated inflammation and organ damage, and lessened ground-glass opacities in chest X-ray. Single-cell sequencing suggested the promotion of thymus function by FNC. A randomized, single-arm clinical trial of FNC on compassionate use (n = 31) showed that oral FNC (5 mg, qd) cured all COVID-19 patients, with 100% viral ribonucleic acid negative conversion in 3.29 ± 2.22 days (range: 1–9 days) and 100% hospital discharge rate in 9.00 ± 4.93 days (range: 2–25 days). The side-effect of FNC is minor and transient dizziness and nausea in 16.12% (5/31) patients. Thus, FNC might cure COVID-19 through its anti-SARS-CoV-2 activity concentrated in the thymus, followed by promoted immunity. nature.com

@dbdugger - Daniel Brittain Dugger

It is through the protein it specifically targets that explains the use of cats to study Long Covid. What Cats May Teach Us About Long COVID https://www.ucdavis.edu/health/news/what-cats-may-teach-us-about-long-covid

What Cats May Teach Us About Long COVID UC Davis researchers find cats could help us learn about long COVID. They've found a new cell therapy boosts immune systems in cats with severe coronavirus. ucdavis.edu

@dbdugger - Daniel Brittain Dugger

"Feline infectious peritonitis, or FIP, is a serious and historically fatal disease in cats caused by a coronavirus. It behaves in many ways like severe coronavirus infections in humans, causing widespread inflammation, T cell exhaustion and chronic immune dysfunction."

@dbdugger - Daniel Brittain Dugger

The first Chinese oral anti-COVID-19 drug Azvudine launched https://pmc.ncbi.nlm.nih.gov/articles/PMC9461232/

The first Chinese oral anti-COVID-19 drug Azvudine launched pmc.ncbi.nlm.nih.gov

@dbdugger - Daniel Brittain Dugger

"Particularly, Azvudine (FNC, 2′-deoxy-2′-β-fluoro-4′-azidocytidine) targets reverse transcriptase and HIV-1 accessory protein (Vif) simultaneously, being the first-in-class dual inhibitor."

@dbdugger - Daniel Brittain Dugger

See? It all falls into place like cats fall into laps. Determinants of FIV and HIV Vif sensitivity of feline APOBEC3 restriction factors https://pubmed.ncbi.nlm.nih.gov/27368163/

Determinants of FIV and HIV Vif sensitivity of feline APOBEC3 restriction factors - PubMed Here we identified in feline A3s residues important for binding of FIV Vif and a unique protein domain insertion (linker). To understand Vif evolution, a structural model of the feline A3 was developed. Our results show that HIV Vif binds human A3s differently than FIV Vif feline A3s. The linker ins … pubmed.ncbi.nlm.nih.gov

@dbdugger - Daniel Brittain Dugger

Our failure to engage in a similar antiviral strategy has left the Central Nervous System reservoir of millions to expand in the same way observed in the HIV+ and each cell type that constitutes that reservoir to be productively infected for years.

@dbdugger - Daniel Brittain Dugger

Nef-like mediated damage has been observed for several years, with 2022, 2023, 2024, and 2025 being relevant to cognitive impairment.

@dbdugger - Daniel Brittain Dugger

It was in 2022 that we learned Tunneling Nanotubes are expanding the Central Nervous System reservoir of millions. Tunneling nanotubes provide a route for SARS-CoV-2 spreading https://pubmed.ncbi.nlm.nih.gov/35857849/

Tunneling nanotubes provide a route for SARS-CoV-2 spreading - PubMed Neurological manifestations of severe acute respiratory syndrome coronavirus 2 (SARS-CoV-2) infection represent a major issue in long coronavirus disease. How SARS-CoV-2 gains access to the brain and how infection leads to neurological symptoms are not clear because the principal means of viral entr … pubmed.ncbi.nlm.nih.gov
Saved - September 16, 2025 at 12:33 AM
reSee.it AI Summary
The conversation begins with a claim that mRNA vaccines cause severe brain damage and mental health issues, described as "chemical lobotomies." In response, the original poster asserts that this assertion is supported by substantial peer-reviewed evidence, citing three specific studies that highlight serious neurological and psychiatric concerns related to COVID-19 mRNA injections. The discussion emphasizes the seriousness of the claims and the backing of scientific research.

@NicHulscher - Nicolas Hulscher, MPH

mRNA "vaccines" function as chemical lobotomies — causing SEVERE brain damage & DEVASTATING mental health. Here's why 👇

Video Transcript AI Summary
We have multiple studies now indicating severe behavioral changes in those who receive mRNA shots. a study by Oten colleagues that found the mRNA, vaccine mRNA, and spike protein was being produced in cerebral arteries of stroke patients. the mRNA shot's based on the second largest COVID vaccine safety study ever conducted with eighty five million people in it. They found two hundred percent increased risk of stroke in after dose two of mRNA shots. They actually identified 86 neuropsychiatric safety signals for these COVID shots, including homicide, homicidal tendencies, psychosis, schizophrenia, Alzheimer's, cognitive impairment, violent behavior. All of this stuff was found to be in far exceedance of what was reported with the flu vaccinations. We clearly now know based on the peer reviewed evidence, it damages the brain, causes brain damage resulting in neuropsychiatric conditions.
Full Transcript
Speaker 0: Yes. We have multiple studies now indicating severe behavioral changes in those who receive mRNA shots. And that's because now a study by Oten colleagues that found the mRNA, vaccine mRNA, and spike protein was being produced in cerebral arteries of stroke patients. We know the mRNA shot's based on the second largest COVID vaccine safety study ever conducted with eighty five million people in it. They found two hundred percent increased risk of stroke in after dose two of mRNA shots. So we do know it goes to the brain, causes brain damage, neuronal destruction, and that is reflective onto neuropsychiatric conditions. That was found now in a study by doctor James Thorpe and colleagues. They actually identified 86 neuropsychiatric safety signals for these COVID shots, including homicide, homicidal tendencies, psychosis, schizophrenia, Alzheimer's, cognitive impairment, violent behavior. All of this stuff was found to be in far exceedance of what was reported with the flu vaccinations. And so this is so concerning, and this also corroborates multiple other studies. One out of Korea that found increased Alzheimer's risks, increased cognitive impairment risks. And also, another study, I believe also out of Korea, found massive increased risk of depression, sleep disorders, and anxiety from these injections. And so we clearly now know based on the peer reviewed evidence, it damages the brain, causes brain damage resulting in neuropsychiatric conditions.

@EthicalSkeptic - Ethical Skeptic ☀

Bizarre Behavior Alert US Mental Health Outlook declined dramatically after the Covid Vaccine rollout - and declined most heavily in the most heavily vaccinated states. Excess above trend in '3-Level Not Good Mental Health Status' - Days 🔺12 Least Vaccinated States = 8.2% 🔺12 Most Vaccinated States = 35.8%

@NicHulscher - Nicolas Hulscher, MPH

This is NOT speculative at this point in time -- but backed by a mountain of peer-reviewed evidence: 1. https://thefocalpoints.com/p/breaking-study-identifies-86-serious 2. https://thefocalpoints.com/p/breaking-study-covid-19-mrna-injection 3. https://www.thefocalpoints.com/p/catastrophic-neurological-and-psychiatric

BREAKING: Study Identifies 86 Serious Neuropsychiatric Safety Signals Linked to COVID-19 Vaccination CDC/FDA safety thresholds breached for 86 adverse events including dementia, schizophrenia, suicidal and homicidal thoughts, stroke, psychosis, depression, cognitive impairment, delusions, and more. thefocalpoints.com
BREAKING STUDY — COVID-19 mRNA Injection Spike Protein Expressed in Cerebral Arteries of Stroke Patients for Up to 17 Months Vaccine mRNA and Spike protein found in hemorrhagic stroke patients' brains — confirming human biodistribution to vital organs. thefocalpoints.com
Catastrophic Neurological and Psychiatric Damage from COVID-19 'Vaccines' Increased risks of ischemic stroke, hemorrhagic stroke, transient ischemic attack, myelitis, myasthenia gravis, Alzheimer’s disease, cognitive impairment, depression, anxiety, and sleep disorders. thefocalpoints.com
Saved - September 24, 2025 at 9:45 PM
reSee.it AI Summary
Before Trump's vaccine remarks, many parents didn't question vaccine safety. Research reveals potential risks, like the HPV vaccine possibly increasing cancer risk and mass vaccination campaigns causing paralysis in children. Vaccines are often marketed as safe, but many don't prevent infections and can have serious side effects, which are frequently overlooked. The narrative around "vaccine preventable" diseases is exaggerated, and natural infections may offer better immunity. The current vaccination approach ignores individual health differences and can lead to significant harm.

@VigilantFox - Vigilant Fox 🦊

Before Donald Trump declared “NO ALUMINUM” and “NO MERCURY” in vaccines, most parents never questioned what could happen to their kids. They didn’t know the HPV vaccine could raise cancer risk by 44.6% in women with existing infections. Or that 491,000 children in India were paralyzed after a mass polio vaccination campaign funded by Bill Gates. This is the vaccine breakdown they never wanted you to see. 🧵 THREAD

@VigilantFox - Vigilant Fox 🦊

The information in this thread comes from the work of medical researcher @MidwesternDoc. For all the sources and eye-opening details, read the full article below. https://www.midwesterndoctor.com/p/what-are-the-risks-and-benefits-of

What are the risks and benefits of each vaccine? The COVID-19 vaccines have provided a once-in-a-lifetime opportunity to answer this question. midwesterndoctor.com

@VigilantFox - Vigilant Fox 🦊

If you think vaccines are perfect, you’ve bought into a myth. Vaccines are marketed as safe and effective silver bullets. But many don’t prevent infection, fail to stop transmission, and carry real, underreported risks. The bar for justifying most vaccines is nowhere near as high as it should be.

@VigilantFox - Vigilant Fox 🦊

The real risk of “vaccine preventable” diseases is wildly overblown. We vaccinate against illnesses that are rare, mild, and/or easily treatable. Smallpox, polio, diphtheria—virtually nonexistent. Chickenpox? Harmless for healthy kids. And the entire fear campaign is built on outdated data and exaggerated, if not completely false, horror stories. The fearmongering has been so effective, we’re vaccinating everyone like it’s still the 1920s. News flash: it’s not.

@VigilantFox - Vigilant Fox 🦊

@MidwesternDoc Many vaccines don’t even work as promised. The HPV vaccine was supposed to prevent cancer, but real-world data shows it may actually increase cancer risk in some. https://www.midwesterndoctor.com/p/the-hpv-vaccine-disaster-was-a-test

The HPV Vaccine Tragedy Was A Test Run For COVID-19 A review of the incredible dangers of the HPV vaccine and the unscrupulous campaign that forced it upon the world midwesterndoctor.com

@VigilantFox - Vigilant Fox 🦊

@MidwesternDoc That’s downright disturbing. And COVID? The more shots you take, the higher your risk of infection. https://www.midwesterndoctor.com/p/another-covid-19-conspiracy-theory

Another COVID-19 "Conspiracy Theory" Comes True! Yearly ineffective and unsafe COVID-19 vaccines epitomize the pharmaceutical business model. midwesterndoctor.com

@VigilantFox - Vigilant Fox 🦊

@MidwesternDoc Vaccine immunity fades fast, but the risks don’t. A @MidwesternDoc's deep-dive explores the real risks and benefits of each vaccine. https://www.midwesterndoctor.com/p/what-are-the-risks-and-benefits-of

What are the risks and benefits of each vaccine? The COVID-19 vaccines have provided a once-in-a-lifetime opportunity to answer this question. midwesterndoctor.com

@VigilantFox - Vigilant Fox 🦊

@MidwesternDoc With the COVID shot, protection drops after just 3 months, leading to endless boosters. Each new dose piles on more risk—including autoimmunity, microstrokes, and unknown long-term damage. And having antibodies doesn’t actually guarantee immunity.

@VigilantFox - Vigilant Fox 🦊

@MidwesternDoc Vaccines put pressure on viruses to evolve. Read that again and let it sink in. When a vaccine “works,” it creates selective pressure that forces new variants to emerge. https://www.midwesterndoctor.com/p/what-are-the-pros-and-cons-of-each

What are the Pros and Cons of Each Type of Vaccine? Knowing how vaccines work is necessary for understanding which ones are likely to help and which ones are likely to harm. midwesterndoctor.com

@VigilantFox - Vigilant Fox 🦊

@MidwesternDoc We’ve seen it with COVID, pertussis, pneumococcus, and Hib—in some cases making the disease worse than before. How is that helpful?

@VigilantFox - Vigilant Fox 🦊

Science clearly shows that natural infection is often safer and stronger. Diseases like measles, mumps, and chickenpox can even train the immune system to fight cancer and chronic illness. Vaccination can rob the body of that natural defense and leave it vulnerable later in life!

@VigilantFox - Vigilant Fox 🦊

@MidwesternDoc Vaccinating while sick can make infections deadly. Merck’s own data showed HPV-vaccinated women with pre-existing HPV had a 44.6% higher cancer risk. https://www.midwesterndoctor.com/p/the-perils-of-vaccinating-when-you

The Perils of Vaccinating When You Are Infected What the forgotten HPV vaccine tragedy can teach us about the dangers of COVID vaccination midwesterndoctor.com

@VigilantFox - Vigilant Fox 🦊

@MidwesternDoc This pattern shows up again and again—including with COVID, flu, polio, and typhoid. And yet children with runny noses and congestion are vaccinated daily.

@VigilantFox - Vigilant Fox 🦊

@MidwesternDoc Side effects aren’t rare. They’re just ignored. Chronic illness has exploded alongside the rise of mass vaccination. But we’re told it’s just a coincidence. https://www.midwesterndoctor.com/p/what-are-the-risks-and-benefits-of

What are the risks and benefits of each vaccine? The COVID-19 vaccines have provided a once-in-a-lifetime opportunity to answer this question. midwesterndoctor.com

@VigilantFox - Vigilant Fox 🦊

@MidwesternDoc Most vaccine side effects aren’t immediate or even obvious. They manifest as autoimmune disease, neurological disorders, chronic fatigue—issues doctors don’t link back to the shot. Rates of these illnesses exploded after major vaccine rollouts in 1986 and 2021.

@VigilantFox - Vigilant Fox 🦊

@MidwesternDoc Doctors are trained not to see vaccine injuries. Injuries that scream “vaccine damage” are dismissed as behavioral, psychiatric, or “just bad luck.” Simply trying to connect the dots can destroy a doctor’s career. What happened to the Hippocratic Oath?!

@VigilantFox - Vigilant Fox 🦊

@MidwesternDoc Did you know that vaccine manufacturing is wildly inconsistent? Vaccine “hot lots” have caused mass injury events for over a century. Operation Warp Speed only made it worse. Quality control was sacrificed for speed—and people paid the price without being warned of the risks.

@VigilantFox - Vigilant Fox 🦊

@MidwesternDoc Some vaccines actually suppress immunity. The DTP vaccine was found to increase child mortality by weakening the immune system. https://www.midwesterndoctor.com/p/the-century-of-evidence-that-vaccines

The Century of Evidence That Vaccines Cause Sudden Infant Deaths The Disturbing Parallels between Sudden Infant Death Syndrome and Sudden Adult Death Syndrome midwesterndoctor.com

@VigilantFox - Vigilant Fox 🦊

@MidwesternDoc COVID shots have been linked to exploding cancer rates and bizarre immune dysfunctions typically seen in AIDS patients. Yikes.

@VigilantFox - Vigilant Fox 🦊

Circulation damage is a key mechanism of vaccine harm. Microclots. Mini-strokes. Brain fog. One theory to explain this is that vaccines impair zeta potential, disrupting blood flow and sparking neurological injury. This would explain much of what we’re seeing with the COVID shot.

@VigilantFox - Vigilant Fox 🦊

@MidwesternDoc Autoimmune priming is real—and dangerous. When vaccines contain proteins that mimic your body, the immune system ends up turning on itself. This is what happened with Gardasil. And the COVID shots, too. They may be the worst offenders yet.

@VigilantFox - Vigilant Fox 🦊

@MidwesternDoc The more vaccines you receive, the worse it gets. Cumulative damage is real. Multiple shots magnify the risk, especially when given together. https://www.midwesterndoctor.com/p/what-are-the-risks-and-benefits-of

What are the risks and benefits of each vaccine? The COVID-19 vaccines have provided a once-in-a-lifetime opportunity to answer this question. midwesterndoctor.com

@VigilantFox - Vigilant Fox 🦊

@MidwesternDoc Spacing vaccines out could prevent thousands of injuries. But the CDC won’t even consider it. Parents who want to space or delay vaccines have to prepare to go into battle when visiting the pediatrician.

@VigilantFox - Vigilant Fox 🦊

@MidwesternDoc Some exemptions can be nearly impossible to get. Even people who go into anaphylactic shock are told to just “try another brand.” Excuse me?! And doctors who do write exemptions risk losing their licenses. This isn’t medicine. It’s coercion.

@VigilantFox - Vigilant Fox 🦊

@MidwesternDoc Public health doesn’t treat you like a person. To them you’re just data. One-size-fits-all policy ignores genetic, immune, and lifestyle differences. It also gaslights anyone who gets hurt.

@VigilantFox - Vigilant Fox 🦊

@MidwesternDoc They call it herd immunity. But it’s more like a treadmill. Chickenpox and measles were once harmless childhood illnesses. But now? We rely on endless boosters to stay protected in the U.S.—because vaccine-induced immunity completely destroyed the natural kind.

@VigilantFox - Vigilant Fox 🦊

@MidwesternDoc COVID and Gardasil are the two worst offenders. COVID-19 shots have killed or injured millions globally. Gardasil may kill 89 people to save just 2—while also leaving thousands with autoimmune disease. That’s insanity. Pure and simple. https://www.midwesterndoctor.com/p/what-are-the-risks-and-benefits-of

What are the risks and benefits of each vaccine? The COVID-19 vaccines have provided a once-in-a-lifetime opportunity to answer this question. midwesterndoctor.com

@VigilantFox - Vigilant Fox 🦊

Other dangerous vaccines include DTP/DTaP, Flu, Hepatitis B, and MMR. Each has a poor risk-benefit ratio, frequent adverse effects, and weak scientific justification. And even the “better” ones still have risks. Rotavirus, shingles, and hepatitis B (for high-risk adults) vaccines may have a debatable benefit—though safer alternatives often exist for these, too. Keep scrolling for a breakdown of each one…

@VigilantFox - Vigilant Fox 🦊

@MidwesternDoc The original DTP was so toxic it caused widespread brain damage and death in infants. DTaP is “less toxic,” but still linked to ear infections and serious reactions. And pertussis outbreaks still happen—because the vaccine doesn’t prevent colonization. https://t.co/LP9UhQd4ON

@VigilantFox - Vigilant Fox 🦊

@MidwesternDoc Tetanus is rare. Fewer people die from Tetanus than lightning strikes. Plus, there’s no definitive proof the vaccine even works! Yet it’s bundled with diphtheria and pertussis, making it impossible to opt out selectively. And wait… where’s the vaccine or lightning strikes?! https://t.co/A9i7UsGfUC

@VigilantFox - Vigilant Fox 🦊

@MidwesternDoc The Hepatitis B vaccine is given at birth—but why? It’s a bloodborne disease that isn’t spread in infancy. What’s worse is that it’s been tied to autoimmune conditions and even sudden infant death. It is hands down one of the least justifiable vaccines on the schedule. https://t.co/ZAAYNo422a

Saved - November 12, 2025 at 1:51 AM
reSee.it AI Summary
Discussion centers on claims that COVID vaccines cause cognitive decline, chronic disease, and cancer, plus concerns about spike protein persistence and synthetic mRNA raised by Dr. McCullough. Dr. Sircus condemns vaccines as the worst thing. Valerie agrees with Sircus.

@ValerieAnne1970 - Valerie Anne Smith

COVID Vaccines Have Been Linked To Cognitive Decline, Chronic Disease, Even Cancer. Dr. Peter McCullough Warns That Spike Protein Persistence & Synthetic mRNA Disrupt The Body’s Balance, Raising Questions About Long-Term Health Effects. Listen Here ⤵️

Video Transcript AI Summary
Speaker 0 raises a concern about the vaccine, asking why every new paper or study seems to claim the vaccine is responsible for a new problem. The question posed is whether the vaccine is really responsible for every negative outcome discussed in the literature, noting rises in cancers and cognitive decline. The speaker questions the blanket attribution of all adverse effects to the vaccine. Speaker 1 responds by suggesting that the world’s population has been poisoned, stating that the protein was devised in the Chinese security lab in Wuhan, China. The speaker claims it is not a natural protein and is not supposed to be in the body. They assert that one can obtain spike protein from having the infection, which almost everyone has had, and from taking the vaccine. The speaker contends that “it’s almost as if we’ve all been poisoned.” They further claim that the spike protein stays in the body and causes disease, listing several specific adverse outcomes: heart disease, neurologic disease, autoimmunity, blood clots, and maybe even cancer.
Full Transcript
Speaker 0: So what is it about this vaccine that every time I read a new paper, I read a new study, it's claiming the vaccine is responsible for it. The rise in cancers, cognitive decline. Is this vaccine really responsible for every negative thing going on today? Speaker 1: Grant, it's almost as if the whole world's population has been poisoned. Remember, this protein was devised in the Chinese security lab in Wuhan, China. It's not a natural protein. It's not supposed to be in the body. And you get spike protein from having the infection, which almost all of us had, and from taking the vaccine. So it's almost as if we've all been poisoned. Though it stays in the body and it causes disease. It causes heart disease, neurologic disease, autoimmunity, blood clots, and maybe even cancer.

@drsircus - Dr Sircus

@ValerieAnne1970 COVID spike proteins and vaccines are the worst thing ever done to mankind by other men.

@ValerieAnne1970 - Valerie Anne Smith

@drsircus I agree Dr Sircus!

View Full Interactive Feed